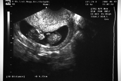
Megjöttünk tegnap este. Jó vol a hétvége, az UHon szerencsére minden rendben volt, nyaki redő normtális, CRL 4,7 cm és olyan aranyosan mocorgott. Nagyon szépen látszottak már a végtagjai is, kaptam fotókat is, majd rakok fel. Bár sztem a következő UHon még aranyosabb lesz.
Családilag megnyiratkoztunk, Bendegúz olyan édesen vásottnak néz ki, a tüskés fejével. Most éktelenkedik a homlokán is egy lila folt, mert ma esett egyet a kanapéra való felmászás közben és parkettát fogott szegénykém. Láttam hogy kezd nőni a dudor, úgyhogy rászorítottam egy hideg fémkanalat. Most csak lila.
Rákérdeztem arra az integrált tesztre, a korom miatt, és javasolta a dokibácsi is, úgyhogy megcsináltatom.
Réka!
Milyen ügyes Ágoston, a formabedobóval is, de főleg a pisiléssel.
Igen én is elgondolkoztam, hogy lehet hogy ki lehetne hagyni a bilit, és ezzel elkerülném a kellemetlen tisztogatási manővereket. De nálunk sajnos van egy nagyon nyomós ellenérv, a klotyónkban télen olyan farkasordító hideg van, mivel nincs benne fűtés, és a szellőzőn minden hideg bejön, hogy még belénk is majdnem belénkfagy minden..
Csajok viszont a bordahelyzetem katasztrófális, egyre jobban fáj, hétvégén aludni is alig tudtam tőle, és már az is nehézséget okoz, hogy a jobb kezemmel a folyékony szappant kinyomjam, vagy hajolás közben előrenyúljak. Megpróbáltuk megnézni az ultrahanggal, de nem látszik sajna, megbeszéltük, hogy ha muszáj algopyrin és tűrjek.
Ehhez képest, most kialmoltam a fürdőszobát kínok kínjával, és főztem, meg elpakoltam, mert azért nem ehet meg minket a kosz. Nekünk meg enni kell.
Olyan fincsit csináltam, remélem Bendegúznak is bejön. Spagettit csak fokhagymás olivaolajjal, kicsit csípősen, petrezselyemmel. És mellé egy jénaiban sütöttem paradicsomot, meg cukkinit, kis oregánóval, bazsalikommal, olívaolajjal, füstisajttal a tetején. A másik opció a kelkáposzta volt, de azt meghagytam holnapra. Sajnos vagy szerecsére mindkét pasim imádja, én viszont szerencsétlenségemre nem szeretem annyira.
Manka!
Megjöttetek már? Milyen volt? Várjuk az élménybeszámolót!




























