Hahó!
Jajj, Meri, jobbulást!
Toti, nem semmi követelmények. Biztos egy nagy cég lehet. Én egyszer poénból elmentem egy Coca-Cola felvételire. 300 kérdéses teszt volt, pszichológiai, egy bezárt szobában egyedül, szerintem még kamera is volt benne. Tudjátok olyan teszt, ha picit konyítasz a pszichóhoz, tudod, hogy mit kéne válaszolni. De én nagyon nem szerettem volna odamenni, ezért a kérdésre, hogy szoktál -e hazudni: PERSZE, hogy bírod a sztresszt: oh, nagyon rosszul...
Arwen: én január 5. óta vagyok táppénzen és még mindig nem kaptam semmit...igaz, én elég lusti vagyok, és picit később is adtam be a papírokat. Nálunk úgy működött, hogy a nődokitól igazolás, hogy veszélyeztetett...a körzetinek odaad...ő kiadja a táppénzes papírt, amit a kiskönyvvel el kellett küldenem az OEPnek, és a nődokit meg a táppénzes papírt minden hónapban elküldeni.
ADRI! ne mondj butaságot. A nők majd 70%-ában benne van a sterpto, sajnos nekem is valószínű. Tesómnak is volt. Ezért aztán ne hibáztasd magad. Ha jól sejtem, ez kötelezően adandó, nem tudom meg lehet -e beszélni a dokival a homeopátit, de ezzel szerintem nem szabad játszani, mert elég csúnya fejleményeket okoz.
Esztora: ez a ruhácska csúcs volt. Szoktak ilyet produkálni a szülők
Szeri, majd megkérdezem, hogy tesóm hogy volt a műtét után. Mindenesetre sokan óvva intették az epiduráltól, mondván, hogy utána napokig, hetekig esetleg hónapokig érezni fogod a hátadat, de tesóm semmit nem érzett.
Apa nem egyezett bele az együttalvásba...

Azt mondja, hogy az első hétben nálunk lehet egy kiságyban, de aztán szépen szoktassuk át a sajátjába. DE ÉN NEM AKAROM. Min. 3 hónapig magam mellett szeretném tudni. Ráadásul nem az ágy mellé, hanem szembe velünk akarja tenni.
Asszem az lesz, hogy a másik szobában fogok Vele aludni, így Apa rosszabbul jár...de ha harc... na jó, azt szeretném, ha mindenkinek jó lenne, DE mindenekelött Csongornak, és az biztos, hogy elég anyatigris leszek, hogy kiharcoljam magunknak a legjobbat.
Apa azért fél, mert minden kollégája első mondata: nehogy beengedjétek a gyereket az ágyba, mert azóta az ő magánéletük romokban, nem tudnak jól aludni, stb. Persze megértem, nem Ő az anyja, azt nem élheti át, amit mi, azt a kötődést soha. nem fogadja el, hogy egy gyerek születésével a gyerek lesz az első, és minden más a második helyre szorul, beleértve Őt magát is. Sok pasi azt gondolja, minden ugyanúgy megy tovább, kiegészítve egy gyerekkel. Nem akarom Apát minősíteni, hiszen nem ismerem, hogyan viselkedik, lehet, hogy Ő lesz az első, aki az ágyba könyörgi a gyereket, és majd ki sem lehet venni a kezéből Csongort, de sok ilyet látok, hallok. Pl. nővéreméknél. Tökre megromlott a kapcsolatuk, tesóm kivolt, hogy minden rámarad, és tök izé vele a párja, míg le nem ültek megbeszélni a dolgot, és kiderült, hogy tesóm rá se mosolygott a párjára, csak a babára, nem foglalkozott vele... persze ebből próbálok tanulni, és mindenkinek javaslom, erre figyeljen majd oda, mert Ők máshogy működnek, más érzések dominánsak, és hát már csak a természetből is adódik, sosem élhetik azt át, amit mi...de elhanyagoltnak nagyon tudják magukat érezni...
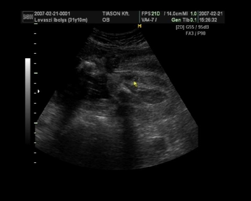
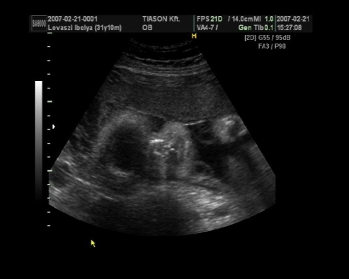
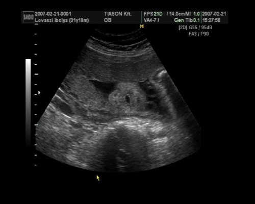
Jajj, este olyan légszomjam volt, és úgy kiszáradt a szám... Mikor felébredtem, megsimiztem a pocimat és éreztem a kicsi szívét

, de ami fura volt, a szívét a pocakom bal oldalán középtájban éreztem, felette pedig folyamatos rugdosást, vagy kalimpálást, De a másik oldalon ugyanott szintén... Lehet, hogy keresztben van???? De a múltkor már lent volt. Na kíváncsi vagyok kedden mit mutat az UH. Dehát azt csak lehetne látni rajtam, ha keresztben lenne...
Képzeljétek, vasárnap jönnek össze a szüleim és Anyósék. Csak egy rövid bemutatkozás, még sosem látták egymást. Itt az ideje most már...

"Állófogadás" lesz, így nem csinálok semmi nagyot (mert nem is bírnék), de nincs valami ötletetek, ami könnyű, de mégis tartalmas, rágcsa?
Bocsi, sokat dumáltam...
Pusszancs
Ág