Jó reggelt!
Először is, Csicsy további gyors gyógyulást anyukádnak! Biztosan nagyon ijesztő lehetett, ami történt.

De a lényeg, hogy már jobban van!
Csip, csajszi nem semmi hogy miket művelsz! Olyan vagy mint a férjem, az is mindig mindent megpróbál megszerelni (amit nem kéne azt is), aztán mikor nem sikerül, jól aggódik, hogy még nagyobb bajt csinált.

Reméljük, a szerelők ma meg tudják javítani.
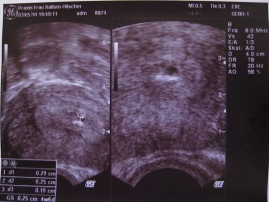
Chis, nagyon édes babód van!

Amilyen picike most, olyan szépen megnő, mire ki kell bújnia.
Henne, szegénykém. Róka koma nagyon ragaszkodik hozzád.

De előbb utóbb csak fel hagy vele.
Gabó! Bocsánat, utólag is
Boldog Szülinapot!
Tyuntyi, elhiszem hogy félsz. De még ha újra elő is jönne ez a csúnya betegség, orvos által ellenőrizve, gyógyszerekkel kordában lehet tartani. Bár, el sem tudom képzelni, min mehetsz keresztül.
Szeszély, drukkolok hogy elcsípjétek a pé-t! Minden úgyis úgy fog történni, ahogyan kell.
Mi jól vagyunk, bár sok a gondunk.

Nem egymással, a cégünkkel. De nem untatlak titeket vele. A lényeg, hogy hétvégére megváltozhatnak a dolgok.
Egyébként szerintem ez a hónap sem sikerült. Van 1-2 akkora ragyám, hogy simán foghatnám velük az orosz katonai műholdak adásait.
S nem is érzek semmit.
Mind1, most úgyis nagyob gondok foglalkoztatnak.
Igazából azt sem tudom, hogy folytatni kéne-e ezt az egész próbálkozást. Szombaton sok minden eldől, de úgy néz ki, nekem is lenne állásom a cég új összeállításában.
Bár az is tény, hogy a párom (aki visszamegy a céghez) egyedül keresne annyit, hogy nekem nem kéne dolgozni. Nem tudom......
Képzeljétek, nálunk már olyan meleg van a lakásban (majd 24 fok), hogy Peti éjjelente már csak 1 bodyban és zokniban alszik. Hiába próbáltam pizsiben altatni, éjjel 6x ébredt fel. Mióta levetkőztettem, azóta újra átaludja az éjszakát.
Na megyek, mert a család legkisebb tagja reggelit követel.
