A baba portál - Babanet.hu

Új privát üzeneted érkezett!

Társalgó főoldal » Fogamzás » ..."ma megint megjött"...


Haga!Nyugodj meg....nincs semmi baj szerintem...csak nagyon-nagyon korán mentél el Uh-ra....a görcsölés meg attól is lehet,hogy emelgetsz....most kéne megjönnie....idegeskedsz stb.....szedjél MgB6vitamint...ha kell 3x2-öt!Méhen kívülit pontosan ebben a korban nem is igen tudják kideríteni szerintem...mivel még csak most kéne megjönnie...nem is igen kéne másnak látszódnia mint amit Neked megállapítottak...
A minimális folyadék is terhességre utal,a mny vastag....
Szóval 6.héten (annak a közepén) már minden okés lesz!A sárga test meg sokáig ott van,táplálja a terhességet...

Pompom szép nagyon a teszted!
Gyugyikám Natinak mondtam,hogy nem csak íő várja a vakációt....és tudósítom a vonalzód alapján,hogy még mennyit kell kibírnia!
Tünde Köszike a táblázatot!Mióta próbálkozunkhoz....oda írhatod,hogy kb. 98.11.09-óta
kandi72
Budapest III. kerület
 
 


Haga,
A görcsölgetés normális, a megjövős érzéssel együtt, ez is tipikus babás tünet, szerintem a többségnek van ilyen :wink: Magnéziumot szedjél! Meglátod, szépen megnő a baba, és majd látni fogjátok, hogy jó helyen van. A Douglasban, ha nagyon sok folyadék van, az nem jó, de neked csak minimális! Mi köszönjük jól vagyunk, és hamarosan elkezdjük bővíteni a családot.
Vendég
 


Gyugyi! Oké, vettem. :) Csak kissé elszámoltam magam (májusra számoltam)... :?

Haga! Szerintem is nagyon korán mentél. Én 6 hetesen voltam kb. 2 oldallal előrébb van az UH képem. Írt fel vmit??? A görcsölés meg mondom, hogy norámlis!!! Amikor jönnie kell jön az érzés. Ennyi. :) Pihi, nyugi nem gondolj rosszra!!! Minden rendben lesz!! Oké?? Azzal ártasz a legtöbbet, ha idegeskedsz.

Pompom! SZÉÉÉÉÉÉPPPPPP!!!!!!!! :)

Kép
Kép
sleepin
 
 

 
 

Hali! :lol:

Haga!
sztem se aggódj.de jó ha a dokid erre is gondol, csak nem kellett volna rádijeszen,. :evil:
a méhnyh nem vastag méhenkivülinél, (nekem 2 db méhenkívülim is volt ), vékony marad. a petefészek környékén il.benne látható furcsa dolog méh.kv-nél, amit ált.cisztaszerű képletnek látnak.
ált.a mensi pár napot késik, és utána vagy megjön vagy barnás-véres vál.ürül.az egyik oldalt petef.magasságban egyre jobban görcsöl, szúrogat.
a legbiztosabb az lenne ha nézetnél hcg-t,m nekem 2-3 naponta néztek.méh.kiv-nél nagyon lassan emelkedik csak.
6 hetes korban legkésőbb kell hogy lássák a petezsákot a méhedben,ha nincs ott, akkor méh.kiv.
nagyon gyatrán dfiagnosztizálják még ma is, csak a gyanúját lehet kimondani és csak laparral igazolható és orvosolható.engem mind2x 8 hetes terhesen műtöttek, az elsőnél rosszul sem voltam, a másodiknál igen.
a douglasban a sok folyadék nem jó(=vér), (ez a hasüregnek az a része, ami a petefészek mellett van és uhun látható), az gyanús nagyon méh.kiv*----re.a kevés az norm.
naaaaaaaaaaaaaaa, remlem kicsit megnyugtattalak.a lényeg ha rosszul vagy, szúr nagyon, görcsölsz nagyon vagy vérzel, azonnal kórház il.mentő.
:? de nem lesz ilyen reméljük, csak még pici a baba. :D
A méhedben meg nem véletlenül van az a felritkulás, ott lesz a petezsák majd :wink:

Mofly!
szijjjjjjjjjjjjjjjja!jó hétvégézést!le ne szállj apáról 8) neked is jut a babaesőből :lol:

Sleepin!
nagyon hasonlítotok 8) 8)

Pompom!
szép teszt :P

voltunk ma első nst-n.tök jó volt hallani a szívverését.mától számolnom kell minden este a mozgását és írni vmi táblázatba. :shock: :D

a hétvégén a melegfront miatt csomó kismamának beindult a szülése, volt aki annyi idős volt mint én. :roll:
Kép
Vendég
 


Sziasztok!

Haga

Nyugi, minden rendben lesz!!!!! :wink: :D
Csak hát a dokik szeretnek ijesztgetni!!!!! :evil:

Vicuska

Hát azért Lilla maradjon bent egy pár hétig a pocakban!!!! :wink: :D

Pompom

Nagyon tetszik a teszted!!!!! :D

Gizus?

Na most egy kicsit önző módon magamról! :oops: :(

Hát hsg megvolt, nem volt egy rózsaszín leányálom mire felrakta a katéter, mert csak a második katéter ment be a helyére, és sokadik próbálkozásra!!!! :cry: Nem kívánom senkinek!!!!! De túl vagyok rajta, jobb mint a lapar!!!!!! :roll:

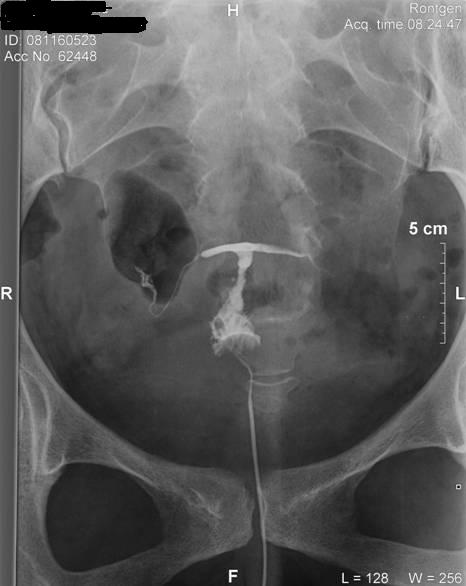
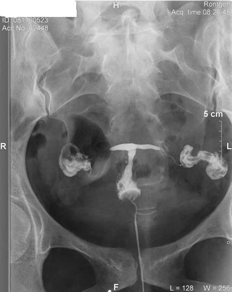
Szóval a helyzet az, hogy történt valami odabent, mert rettentő vékonyak lettek a vezetékek, kanyargósak, és a főnököm és az itteni nőgyógyi (aki felrakta a katétert) szerint hegesen gyógyultam régebbi gyulladásból. :cry: Szerinte ne is az inszemivel, hanem a lombikkal próbálkozzunk!!!!! :? :cry: Hát elkenődtem, mert nem erre számítottam, hiszen volt laparom, hsg-m eddig teljesen jó eredménnyel. :( Viszont megyek vissza a dokimhoz majd ha megjön, és megmondja a frankót!!!!! Hát ő azért már több ilyet látott, mint ez a nődoki!!!! :shock:
És a képes bizonyíték!!!!
Kép
Kép
Kép

A Páromnak sem mondtam el hogy ma mire készülök! :( Hazajövök, ő tök happy, én persze nem, és már említettem neki a telefonban amikor hívott, hogy beszélni akarok vele!!!!!
Erre mondja hogy oké, de vett nekem valamit és előtte ide akarja adni. :shock: Hát kicsomagolja, és egy vörös rózsa volt!!!! :lol: Mondom ezt miért kapom? Mire ő: Mert SZERETLEK!!!!! :D Hát mondtam mindjárt nem fogsz!!!!! :( Kérdi, hogy mit csináltam???? :shock: Mondtam hogy semmit! És mondta hogy akkor mondjam el, hogy mi volt az amit mondani akartam!!!!! :wink: Hát elmondtam neki, megmutattam a képeket is, bár mondta hogy ő ehhez nem ért, mondtam neki ezt te is észreveszed a különbséget!!!!! :( Látta is!!!!! Elmondtam hogy mik a lehetőségek, akar e még engem ezek után is, és hogy mi lesz, mert egy lombik sem éppen olcsó mulatság!!!! :( :( :( Azt mondta veszünk fel hitelt ha kell!!!!! :wink:

Úgyhogy minden ilyen információt, inszemről, lombikról szívesen veszek!!!!! :wink: Lombik előtt vannak ilyen papírmunkák, kérelmek stb....? :shock:
Vendég
 


Ditke,
Lombiknál nincs kérelem. Ha a meddőségi szakembered úgy dönt, akkor lehet kezdeni. Nem tudom melyik intézetbe jársz, de sok helyen van várólista, ami pár hónap is lehet. Lesznek előtte vizsgálatok, vérvétel, Ekg, stb. Utána, ha minden ok, eldöntik, hogy milyen protokollod legyen(short, long, antagonista). Kezdhetsz fogamzásgátlóval, vagy szurival, ez változó. Jön a stimu, közben uh, meg vérvétel, leszívás, babák elindulása, beültetés, pihenés, reménykedés, végül pozitív teszt :lol: Kb. ennyi :wink:
Inszem: Hsg, vérvétel, Apa vizsgálat, utána stimu(gyógyszer vagy szuri), tüszőrepesztés(szuri), inszem(nem fáj) progi, és tesztelés 15 nap múlva.

Vicuska,
Nagyon szép pocakod van :wink:
A hozzászólást 1 alkalommal szerkesztették, utoljára Vendég 2009.03.30 15:18-kor.
Vendég
 


Pandácska

Te miért tűntél el?????? :shock: :shock: :shock:

Köszi!!!! :wink: SOTE I-re járok!!!!! :wink: Anyagilag neked mennyi volt, tudom ez függ a gyógyiktól is!!!!! Úgyis átlagot vonok!!!! :lol:
Vendég
 


Ja! Tegnap mondtam a Páromnak hogy én régen milyen szerelmes voltam belé!!!!! :lol:(merő nosztalgia) Erre ő: Hát még most is szeretsz!!!! :shock: Mondom miből gondolod?????? :shock: :roll: Azt mondta érzi!!!!!! :shock: :wink: :D
Vendég
 


Ditke? hol volt a hsg-d?

nalunk sok minden tortent, azert is voltam eltunkve :cry:

Giz
Kép
Kép
III. uh: 11.04
kissgizi
 
 


Gizi

Mi történt?????? :shock:

Én radiológus asszisztens vagyok, és a főnököm csinálta itt helyben!
Vendég
 


Ditke, remelem apjukkal rendezodik a dolog, mert lehet, hogy visszaterek a SOTE I-re :)

a lenyeg, hogy amint arra szamitottunk nem hosszabitottak meg a prbaidom. a probaido utolso napjan du behivattak el kozoltek, hogy nem hosszabitjak meg blabla.. raadasul ugy, hogy meg 1 het keleltt volna ahhoz, hogy kapjak muinkanelkulit :(

nagyon sokat gondolkodtunk a 7vegen, hogy mi legyen.
keressek-e masik allast, de az megint fel ev probaido. es annyire szivesen nem is dolgoznek itt, ebben a szektorban, mert iszonyu stresszes volt.

amit elertem tavaly nagy nehezen, pco teren azt tonkretette. felszedtem 5-6 kgt :( tiszta ideg voltam, a mensim is tok hulye lett. es ha most ujra kezdem vhol mashol, akkor ott is ez lesz legalabb is a probaido alatt.

a munkaval semmi gond nem volt, de az itteni emberek nagyon furak. az a sunyi, hatbatamados fajta.

na mindegy, gonsolkodtunk, es arra jutottunk, hogy aza legfontosabb, hogy gyerek legyen. en nem vagyok mar mai csirke es a tapasztalatok alapjan nem lesz egyszeru.

es itt azt sem tudom kihez menjek, nem kakarom teljesen elolrol kezdeni, illetve franciaul nem akarom vegigcsinalni, mert meg a dokik beszelnek angolul a noverek mar nem annyira :( gondolom.

szoval arrra lyukadtunk ki, hogy otthon kezdunk gyerekprojektbe. marmint itt elunk, Apa itt dolgozik, de en hazajarok vizsgalatokra.
aztan majd meglatjuk :)

ha jo elore megveszem a jegyet 20-30 EURbol megfordulok repulovel :)

ugyhogy msot mi is megszorito intezkedeseket vezetunk be, mert egy fizetesbol itt is nagyon nehez megelni, foleg mert a berbesorolas eletkor alapjan megy, es Apanak hiaba jo a pozicioja, meg nagyon fiatal :)

ugyhogy most masik alberletet keresunk, lemondtuk a fitneszberletet stb. jon a zsiroskenyer de a gyerekert mindent ebben egyeteretunk. mert a munkam mellett tuti nem lesz, napi 10-11 ora meleltt erom nem volt semmire. neha meg 7vegen is dolgoztam. nem ezert valtottam, jottunk ide :(

addig meg probalok tavmunkat, otthoni alkalmi munkat keresni, nyitva tartom a szemem lesz vmi, mert Apa nem enged vissza dolgozni. azt mondja, meg egyszer nem tehetem ennyire tonkre magam. es nekiallok rendesen tanulni franciat :) mert az itt nagyon kell. hiaba hivatalos nyelv a nemet is minden franciaul van :(

remelem nem lett tul zavaros.

vki kerdezte az eskuvot...hat a munka miatt avval sem vagyunk elobbre, ha igy folytattuk volna nem lenne bevonulozene sem :(

Giz
Kép
Kép
III. uh: 11.04
kissgizi
 
 


bekem is kell surgosen egy hsg, nem akakrok megint egy csomo csalodassal teli honapot :wink:

Giz
Kép
Kép
III. uh: 11.04
kissgizi
 
 


Gizi

Sajnálom hogy így megszívattak a munkahelyeden!!!!! :evil: Viszont tényleg nem ér egy munka sem ennyit hogy rámenj!!!!!! :evil:

Akkor még talizhatunk is a SOTE I-en????? :lol: De jó!!!!!! :D :D :D :D
Vendég
 


Ditke!
akkor hajrá szerelem!!!!!!!!!!!!! :lol:
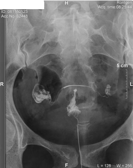
ez mind mostani rtg?dehát átment rajta a folyadék,nem?ha el van záródva elakad.
de biztosabb sztem is a lombik, szal én csak támogatni tudom :P
nekem 100-120 körül volt a 6.hétig+benzin.

Gizi!
mi történt? :roll: mesélj :shock:

Panda!
köszi :D
a talán nekem is menni fog a spontánra vonatkozik? 8)
az alsó meg a lombikra? :roll:
drukk :wink:
Vendég
 


Vicuska

Köszi az infót!!!! :wink: A tiéd elég occsó vót!!!!!! :lol: :lol: :lol: De a végeredmény a fontos aki a pocakodban lapul!!!!! :wink: :D
Vendég
 


Haga, korai volt az uhu!!!!!!!!!! Én 7+3-nál voltam először, akkor volt a CRL 8,8 mm és volt szívhang. Drukkhegyeket küldök!!!!!!!!!!!!! És próbálj ne agyalni!!!!!!!!!!!!

Ditke, örülök, hogy túl vagy rajta! Az eredménynek nem annyira, de legalább megvan a bibi!!!!!!!!!! Így végül is közelebb kerültél a babátokhoz! Pároddal is örülök, hogy alakultok!!!
Inszem Forgácséknál 40 ezer Ft volt, a gyógyszerek a stimuhoz olyan 4 és 12 ezer között mozogtak. A SOTÉ-n asszem ingyenes az inszem, csak a gyogyit kell kifizetni.

Vicuska, azta, már Ti is az nst-nél tartotok! Gyönyörű a Lilla-lak! Azért pár frontot még várjatok ki! :wink: Jóslóid vannak már?

Pandácska, drukk a tesóprojekthez! :wink: :lol:

Giz, sajnálom a bonyodalmakat, viszont így hajrá babaprojekt teljes gőzzel!!!!!!!!!!!!!

Pompom, nekem -6,5 volt! Ha nincs más problémád, akkor szerintem a 4,5-tel simán szülhetsz, de tényleg inkább szemüvegben, mint kontaktlencsében :wink:

Kép
vickybabe
 
 


talizhatunk, bar remelem TE akkor mar pocakos leszel :wink: :D

Giz
Kép
Kép
III. uh: 11.04
kissgizi
 
 


Pompom
Szép teszt!

Haga
Nem lehet, hogy korai volt az UH? Szerintem nem lesz ez méhen kívüli :)

Ditke
Azért aranyos apjuk, hogy így próbálkozik :) Szerintem becsülendő :)

Gizi
Hajrá babaprojekt :) Biztos jobb lenne, ha nem dolgoznál annyit és nem lenne annyi stressz...

Kép

Kép
princzike
 
 


Haga!
2331.oldalon vannak uhu fotók 8)

Gizi!
akkor hajrá gyorsan tessék bebabásodni!a stressz biztos nem segít :evil: olyan olcsón lehet hazajönni? :shock: :roll: párod aranyos h eltart titeket.franciához kitartást!már tanultad vagy nulláról indulsz? :roll:

Viki!
nem tom... :oops: milyenek azok a jóslók? :roll:
a cickóim érzékenyek nagyon pár napja 8)

Ditke!
occsó???????? :shock:
Vendég
 


Vicuska

Ahoz képest olcsó, hogy hallottam 3-400 ezer körül is a lombikot!!!!! :shock: :?

Princzike

Ciklus végén tartassz? :wink: Drukk hogy piri lemaradjon még vagy 9 hónapig!!!!!!! :wink: :D

Vicky

Neked is köszi az infót!!!! :wink: :D Leviről tegyél légyszi új képeket!!!!! :wink: :D

Gizi

Akkor remélem összefutunk!!!!! :D
Vendég
 


Ditke,
Igaziból soha nem tűntem el :wink:

Vicuska,
Mindkettő a spontánra, nincs lombik a terveink között. Csodák léteznek :D :wink:

Vicky,
Köszönjük :wink:
Vendég
 


Sziasztok!

Haga
Sztem is korán voltál. Én sem hiszem, hogy méhen kívüli. Hanyadik cn ill dpo volt ma?
Útálom, amikor a dokik így ijesztgetnek. :twisted:

Ditke
Örülök, hogy rendeződni látszanak a pároddal a dolgaitok. :D
A Hsg alapján átjárható vagy...nem tudom mennyire vékony az a petevezető. :? Viszont, a lombik azért jobb mert csak kisebb az esélye a méhenkívülinek, ami spontán vagyy inszemmel egy ilyen petevezetővel esetleg nagyobb.(Hímivarsejt még eljut a petesejthez, de vissza már nem férnek.)

A lombikok nekünk is 100-120 körül voltak mindenestől....ez az átlag mostanában, csak régebben volt sokkal szarabb a támogatás...ennél csak extrém esetekben több sztem.Utiköltségest meg kérni kell ha sokat kell utazni.
Pompom
Szép teszt.Hajrá uh!!! :D Nekem is volt amikor nem volt tünetem, ilyesztő is volt, de mostmr émelygek egész nap. :oops: Tömöm magam b6-al. De most olyan jót ettem. :D Kőrözött (házi), sonkával, pari, paprika...jól esett.

Kisgizi
Sajnálom a kellemetlenségeket.De no stress!!! És potyognak majd a babók! :D

Mofly
Végülis spontán, leállítottuk a 4. lombik stimuját mert nem reagáltam...aztán meg otthon párnák közt mégis beérett egy petike. :D
Sok sikert nektek is!!!

Vicus
Nemsoká jön a te babód is. :lol: Egy kis telehold vagy melegfront. :wink:

Na pusz mindenkinek!!!

Kép
vizkriszisback
 
 


Haga!
Mi 4+6-on voltunk és SEMMI nem látszott! Egy hét múlva meg két petezsák, szóval nyugiii!!!! Drukkolok!!!

Ditke!
Nagyon ijesztő a lombik gondolata, de látod milyen sokunkank megoldás. Itt van Panda, Lmami, Vicus, jómagam... Szóval hajrá! Itt a fény az alagút végén! Nekünk is 110-120-ban voltak a szurik. :wink:

Mofly!
Drukka spontánhoz és jó pihenést!

Pompom!
Szerintem nem lehet kontaklencsében szülni. Nekem is az van, de abból kiindulva, hogy ha bármi baj van és netalántán műteni kell és altatni, akkor gond, ha bent van. De majd megkérdem a dokit előtte és megmondom Neked is! :wink: Teszted gyönyörűűűű!!!

KépKép
zsófikukac
 
 


pompom!
nagyon szép erős a teszted!!!gratulálok még még még egyszer! :)

haga! kivánom h minden a legnagyobb rendben legyen!!!

kolibri! utolag boldog névnapot!

vicus! nagyon szép poci! :)

gizi!sajnálom a munkád, de hajrá babaprojekt!!! :)

ditke! de jó h kibékültetek!!!! :lol: nem irsz kommentárt a képhez nekem?vagy csak az a lényeg h szétfolyik jobbra balra is?az ok nem? és az utolsón kell látni h kanyargós?az a baj?hajráááá lombik akkor!!!de lehet becsúszik spontán is! :wink:

rólam! tegnap előtt azt hittem el mult fél napig semmi nem volt, aztán azóta megint van egy kevéske. :twisted:

KépKép
dike
 
 


Sziasztok!

Köszi szépen, hogy próbáltok bíztatni.


Vicuska :)
Nagyon szép nagy Lilla kuckója, de azért még maradjon pár hetet :wink: Én sose jártam NST-re, csak amikor 40 hetesen bementem a kórházba, ott csináltak napi 2őt. Irigyellek, olyan jó hallani a szívverést :) Nekem még számolni sem kellett otthon.
Utólag boldog szülinapot :) Még 7 napon belül van, ugye? :wink:

Megnéztem a 2331 oldal uh képeit. Én ilyent ma nem láttam, a méhben egy leheletnyi kis pöttyöt, a petefészekben annál nagyobbat :cry:
Köszi a részletes leírást. Egy valami nem hagy nyugodni.
"a petefészek környékén il.benne látható furcsa dolog méh.kv-nél, amit ált.cisztaszerű képletnek látnak."
Eszerint nálam fentállhat a méhenkívüli?


Mofly :)
Jó hétvégézést, drukk. De ne is gondolj rá, hogy miért is "hétvégéztek" :wink:


Ditke :)
Sajna én nem értek a HSGhez, de örülök, hogy kezd rendeződni a helyzet a pároddal. Csak így tovább :wink:


Vickybabe :)
Köszi a drukkokat, jól esik.


Krisz :)
Ma vagyok a 37. cn-en.
A DPO 20 vagy 1-2 nappal kevesebb.
Március 10.én voltunk együtt, de a tojásfehérje csak utána napoktól kezdődött.
Picit irigyellek az émelygés miatt. Bár ha nekem lenne, biztos meg akarnék halni a szenvedéstől :) Első 2 terhességem alatt nem émelyegtem, csak fura volt a gyomrom, és a kanada dry, kola, szénsavas víz segített. Na, meg a szendvicsek :lol:


Zsófikukac :) Dike :)
Nektek is köszi a drukkokat :)

És mindenkinek köszi a szülinapi jókívánságot is :)


A dokinő amúgy szimpatikus volt, csak ne ijesztett volna meg :?
Vizsgálat előtt annyit mondott, hogy még várhattunk volna a terhességgel. Nem akartam ecsetelni, hogy "védekeztünk", meghogy a 17.cn-en voltunk együtt, és nekem előbb szokott pém lenni, de most azt hittem nem lesz. Ebben a hónapban volt Albert kórházban, beteg voltam, stb..azt hittem pé mentes lesz a ciklus...
Még annyit, hogy kézi vizsgálatnál azt mondta, hogy felpuhult méh, cervix 3000 és tojásnagyságú uterus tapintható. Nem értem már igazán, de ha méhenkívüli lenne, akkor a méh ugyanúgy változik, mintha méhen belül lenne a "baba"?
Már megkeveredtem :?
Főleg,hogy a leleten a diagnózis méhenkívüli terhesség :?

Na, megyek fürdeni, tán Albert már mélyen alszik, és nyugodtan zuhizhatok.

Jóéjt, szép álmokat nektek!
A hozzászólást 1 alkalommal szerkesztették, utoljára Vendég 2009.03.30 21:12-kor.
Vendég
 


Dike, aranyos az új vonalzód. :)

Zsófi, én is az altatás miatt tippelném hogy a kontaktlencse tiltólistán van... persze most azt mondanám, hogy egy pillanat alatt kikapom a szemeimből, ha valami baj lenne, de hát honnan tudhatnám, hogy leszek-e olyan állapotban. Már barátkozom a szemüveg gondolatával. :)

Krisz, a vacsimenüdet olvasva elkezdett követelőzni a gyomrom, főleg a kőrözöttre indult be. :)

Ditke, örülök hogy újra elkezdőtött egy kis turbékolás köztetek! :)

Én éppen csorgatom lefelé a mai nap utolsó mézes teáját, közben gyenge émelygés, visszont össze kell még lapátolnom magamat, mert ma egyedül vagyok itthon, úgyhogy én leszek az, aki egy órát andalog a kutyussal odakinn.

Jóccakát mindenkinek!
Vendég
 


Haga!
Kukac megírta, h 4+6 on semmit se láttak nála.te is annyi vagy ha jól számolom.szal 1 hét múlva majd látni fogják a babót :lol: .addig meg kár morfondirozni, ugyse leszünk okosabbak :roll:
nyugi plííííííííííííííz.
amit a cisztaszerű dologról irtam, az terhességi sárgatest is lehet ám! :wink:
mikor kell visszamenj a dokihoz?

a méh a méhenkivülinél nem változik, vagyis nem lesz olyan, mint a terheseké,olyan marad, mint a nem terheseké.

mit írjak még, h megnyugodj? :roll: :wink:
Vendég
 


Vicuska :)

Hát, nemis tudom mit írhatnál még :roll:
Igazán egy nagyon jó UHs tudna megnyugtatni.
Szerdán 3ra kell visszamennem kontrollra.

Kérdeznék valami szakmádba vágót is, ha nem gond :oops:
Van egy féléves leányzó kutyánk. Nem szeretnénk, ha kiskutyái lennének, ezért szeretnénk megműttetni. Mennyi idős korban ajánlott?
Teszek róla képet :oops:

Németjuhász+labrador+szetter mix :lol:

Íme Bodza kutyus :wink:

Kép
Vendég
 


Pálinkásat :!:
Kép

Haga :)
NYUGIIIII!!!!!!! Szorítok nagyon! Kép

Kutyusnál postop kezelést vállalok! :wink: Friss gyakorlattal rendelkezem.... :roll: :lol: :lol:

Ditke :)
Előkotrom a hsg papírjaimat, ha magamhoz tértem.

Innom kell még egy kávét......
Kép

KépKép
zapáné
 
 


Szép jó reggelt!

Haga
Én először a 34. cn-en voltam uh-n, de csak annyit láttak, hogy nyh 10mm, petefészekben 10 mm-es cisztkus képlet.(Hozzáteszem nekem a pém sztem csak a 26.c napon volt, bár ez még nem bizonyított) Kérdeztem, hogy az lehet a sárgatest?Hát valószínű...mivel úgy gondoltam, hogy pé után vagyok ki tudja mennyivel. Aznap még negát teszteltem. 2 nap múlva nagyonhalvány pozitív lett a 10-es tesztem 5 perc után.Másnap vv és hcg 44. Uh 2 héttel a 34. cn után volt, akkor már 10mm-es petezsák és benne babóca, szikhólyag. Kövi uh, mához egy hét, előző uh-hoz 2.

Acisztikus képlet azért az mert lehet, hogy tüsző, lehet hogy sárgatest lehet hogy ciszta. Ha a méhedben van felritkulás, akkor ott van a babó nem máshol. A diagnózis meg nem az ami tuti van (bár az lenne logikus), hanem amit gyanítanak.

Szép kutyus!!! :D

Rólam:
Émelygek, ettem egy fél tányér tejbegrízt, rá magne b6, b6 és gravida. :? Remélem bent marad minden. Megmértem a súlyom, mert vki már kérdezgette...és nem mértem vagy 1 hónapja...úgyanúgy 63...csak puffadt a hasam.

Kép
vizkriszisback
 
 


Haga
A szénsavas segít?Pedig pont nem így mondják.Én meg kiráztam a gyömbérből a szénsavat. :lol:
Mondjuk életemben nem büfögtem ennyit mint mostanában, puffadok mindentől..vagy nem tom mi ez.Sztem ez okozza a hányingert is, a sok levegő bent. :?

Kép
vizkriszisback
 
 


Krisz,
Nekem is volt olyan, hogy pár korty jéghideg cola segített. Persze tényleg csak keveset, mert egészségtelen. Az ember mindent kipróbál, amikor már csapatostul jönnek a rókák :wink: :lol:
Vendég
 


Én aludtam még egy kicsit, hátha jobban leszek...mert amúgy mindig 6 előtt kelek a párommal.Alig bírtam elaludni az émelygéstől és a hidegrázástól, de sikerült, most jobb, mindjárt iszok hideg papadicsomlevet, az én gyomrom azt szereti. :D

Kép
vizkriszisback
 
 


Krisz :)


Jobban lettél?
Paradicsomléhez mit szólt a pocaklakó?
Igen, azt mondják nem ajánlatos terhesen szénsavasat inni.
De nem tudtam mást kortyolgatni, mert a sima bubimentestől undorodtam, ha abból csak egy kortyot is ittam, na attól tényleg felfordult a gyomrom. Nekem azért segített a buborék, mert sokat tudtam böfizni, persze kultúráltan :P
Valamint még az is hatásos volt, ha egy flakont bekészítettem a fagyasztóba és jéghidegen ittam. Az én torkomnak nem ártott 8)

Nem lehet, hogy a Gravida fokozza a hányingeredet?
Én nem terhesen sem bírtam, meg az elevitet sem.


Múlt héten megrendeltettem a patikában a 90 szemes Centrum Maternát, erre tegnap közölték, hogy nincs, nem tudták beszerezni, menjek másik patikába :? Nagyon örültem :twisted:




Gyugyi :)

Köszi a szorítást :)
Postop kezelésre a macsekot is hoznád? :P :P :P :wink: :lol:
Vendég
 


Haga
És már nem tesztelgetsz?Mert ha erősödik a csík, az jó jel. :D

Kép
vizkriszisback
 
 


Krisz :)

Én is 63 kiló vagyok :wink: :oops:
Vendég
 


Krisz :)

Még van egy Lilym...
Majd tán holnap reggel...
Vendég
 


Na, laptető :oops: :roll:


Most megyek. Albert már egy ideje alszik, gyorsan megfőzöm neki a cukkinifőzeléket.

További szép napot :wink:
Vendég
 


Sziasztok csajok!

Életjel...

Csak nagyon futtában olvasgattam...

Haga :D Nagyon-nagyon drukkolok Nektek, minden rendben lesz, ne aggódj! :wink:

Krisz :D Megindultak az émelygések? :roll: Remélem hamarosan jobban leszel! Párod mit szólt a nagy hírhez? :D

Vicus :D Nagyon szép nagy a pocakod! :wink: Jól nézd meg, nemsoká nem lesz belőle semmi! :lol: Nekem szülés előtt kb 3 héttel kezdődött olyan, hogy hirtelen elöntött a melegség... nem tudtam mi az az érzés, ismeretlen volt. Azt hittem a vérnyomásom, meg is mértem, de jó volt. Aztán mikor nst-n voltam a kórházban, pont akkor is éreztem, ránéztem a gépre és jééé, méhösszehúzódás. Szóval én már előtte is éreztem napi többször. De a jóslóra azt mondják olyan mint a mensis pocak/derékfájás.
Már nincs sok hátra Neked sem és mindjárt Lillázhatsz! :wink:

Gröni :D Picit visszaolvastam és jót röhögtem, mikor írtad kivi vagy, meg van-e Márknak mind a 6 foga. :lol: :lol: :lol: Hálistennek nincs! :lol: :lol:

Teszek egy képet erős idegzetűeknek... Szóljon ha valaki hallott már ilyenről.... :lol: :lol: Eddig még senki sem hallott ilyen megoldásról... :lol: 8) :wink: Azt hittem rosszul látok a zuhany alatt. :D :lol: :lol:

Kép

Jól láttam, csajok, tali készül? MIKOR és HOL?? :wink: Mi is akarunk!! :P

Na mit akartam még...

Ditke :D Jaj, nagyon örülök, hogy ismét nagy a boldogság odahaza! Akkor hajrá lombik, sikerülni fog a ti csodababótok is! :wink:

Teszek friss képet a manómról... hízott 200 gr-ot 1 hét alatt! :P Végre túl van a születési súlyán, meg lettünk dícsérve. :wink:

Kép

Jövök majd szüléstörivel is amint lesz időm.

Nagy puszi mindenkinek! :wink:
fenci
 
 


Haga, édes kutyus! :)

Nekem is a szénsavas dolgok jönnek be, és hidegen. Amire az elmúlt napokban vágytam, az természetesen a kóla és a sós, zsíros, szénhidrátdús mekis kaják. :? Mekiben kb. két éve nem jártam, de ha a sült krumplira gondolok, csíkokban csorog a nyálam. :) Kompromisszum lett a dologból: kóla helyett szénsavas vízzel higított gyümilé, sült krumpli és társai helyett pedig petrezselymes krumpli, rántott gomba.... ez egy időre lecsillapít. :)

Krisz, Gravida után pár percig én is émelygek. Jut eszembe, te szedsz Gravida mellé még folsavat? 0.8 mg van egy tabiban, viszont a 3 mg-os folsavból 1-2 tablettát ajánlanak koraterhesség idején... szóval én bekapok a gravi mellé még egy ilyet.
Vendég
 


suliból..............

Fenci :)
Én már láttam!!!! :D
Elfutó varrat. Csak nekem nem gomb( :shock: ), hanem plomba volt a két végén. El is kértem a dokitól, azóta is őrzöm. :wink: Remélem, nem a nagyi varródobozából hozta el a doki!!! :lol: :lol:

KépKép
zapáné
 
 


fenci
ez gáááz, azt hittem, vmi szado-mazo oldalrol szedted le poénnak. én sose láttam ilyet. mire jo a gombolás??? ez a hasad alján van, csaszis varrás?

pompom
sztem se engedik a mütét miatt a kontaktlencsét. amugy megéri szemcsit csináltatni, mert gondolom nem a lencsében alszol és majd amikor éjjel felkelsz etetni meg pelenkázni, eccerübb a szemüveget felkapni, mint betenni a lencsét

krisz
nekek is a kola volt jo az émelygésre. meg a lidl pálcokás jégkrém :) ettem is dögivel, hiztam is töle. de modjával nem árt meg.

haga
drukkkkk

ditke
én sem tudom, mit kell nézni a fotokon. de én is arra gondoltam, hogy ha kanyargos a petevezetö, akkor ott elakadhat a magzat, emiatt biztonságosabb lenne a lombik. ha babás leszel spontán, neked nem árt meg a röntgensugár? vagy nem közvetlen a sugárban dolghozol???

Davi tegnap azzal kezdte, hogy egy fémautot dobott peti orrának. délelött amig kivittem a szemetet, a zsinorjánál fogva lerántotta a cd lejátszot, pedig már direkt feltettük egy magasabb polcra. na, emiatt nagyobbat esett a cd, szerebncse, hogy nem a kölök fejére. gondolom, a teteje meg felpattant leeséskor, mert a lemez a gyerek kezében volt. még szol... délután meg a játszotéren a kukába dobta a labdát. mindenki jol szorakozott rajtam :evil: :evil: ahogy küzdök. de télleg nemtom mi lesz velünk jun-ban. majd szopi alatt kikötöm a kilincshez, vagy nemtom... :? szétdobálja majd a lakást addig.
Vendég
 


Haga
Akkor várjuk a holnapot! :D A laptető legyen veled! :D

Fenci
Hát én ilyet még nem láttam. :shock:

Pompom
Én is néztem.Hogy lehet ilyen béna egy terhesvitamin, hogy a legfontosabb vitaminból csak az 1/5-ödét teszik bele.Szedek én is 3 mg-t mellette. :D

Kata
Nem egyszerű ennyi gyerkőccel néha. :lol: Hát...kitartás!!! :D

Kép
vizkriszisback
 
 


Gyugyi :D Te nem lepődtél meg? :roll: 8) :lol: Engem az első este fürösztött egy nővér, akkor nem is figyeltem, alig éltem és alig vártam hogy lefeküdhessek. Aztán másnap mikor egyedül zuhanyoztam, néztem mi ragadt a hasamra? :roll: Akkor látom, hogy anyááám, ez egy gomb vazze.... :shock: :roll: Aztán uccsó nap megkértem a szobatársam, hogy örökítse már meg fényképezővel mielőtt kiszedik a varratokat, és akkor mondja, hogy a másik oldalon is gomb van. :shock: Na szóval, kérdem a dokkert: "Doktor Úr, ez a gomb sztori a vicc része?" :lol: Aszongya ja, oda kell akasztani a ridikült. :lol: :lol:

Kata :D Állítólag ezzel a gombbal szebben lehet eldolgozni a varrat két végét, szebb lesz a varrat vége utána. :shock: Igen, a hasam alján volt, már kiszedték mikor hazajöttünk. Te jó ég miket művel Davi! :shock: :wink: Az tuti, hogy nem lesz könnyű 3 babóval, én már most fejet hajtok a több gyermekes anyák előtt. :wink:
fenci
 
 


Fenci :)
Meglestem iwiw-en is a kislegényt! :wink:

Mutatom, nekem mi volt a hasamban.
Kép
Olyan, mint a Tiéd, csak nem gomb van a végén. A gomb viccesebb!!! :lol: :lol: Kapucnidat rágombolhattad volna! :lol:

KépKép
zapáné
 
 


Ditke
Köszönöm :) Hát hajtok is rá, hogy piri vagy 9 hónapig elkerüljön :)

Haga
Nyugi , nem lesz semmi gond :)
Szép kutyus. Én is szeretnék most már idén nyáron :) csak előbb a kertet kellene még tavasszal rendezni :)

Pompom
Milyen kutyusotok van?

Fenci
Szép gomb. Bár én még nem hallottam ilyenről, viszont én is arra tippeltem, hogy biztos szebben nő össze a varrat a végeknél :)
Örülök, hogy Márknál így beindult a gyarapodás és már túl is vagytok a születési súlyon :) Hogy bírod a szopiztatást? Még mindig jó hosszúkat kajcsizik?

Kata
Nem lehet egyszerű. Remélem kinövi ezt a korszakot júniusra :)

Kép

Kép
princzike
 
 


Hát elméletileg nekem most jár le a ciklusom, így lehet tesztelni kellene, de elég nyúl vagyok.
Bár a mellem érzékeny, de félek, hogy csak a gyógyszertől, amit a doki adott. A hőm is leeset 36,9-ről 36,8-ra ma reggel. Félek, hogy most már ez ilyen leszálló ágban is marad :(

Kép

Kép
princzike
 
 


Sziasztok!


Ma 2 és fél órát sétáltunk, 7 kilométer volt 8) Jól esett :)

Krisz :)
Remélem a laptető tényleg velem van :idea:
Én 5 mg-os folsavat szedek :wink: persze megvan rá az okom, hogy csak ezt szedem.
Terhesvitaminból még nem szedtem be egy szemet sem, mert nincs. Én Albertnél is inkább folsavat és b6 vitamint nyeltem, csak pár naponta szedtem a Maternát. Doki mondta, hogy az elején a folsav a lényeg, elég lenne ha csak azt szednék.
Magne-B6 kilőve, szombaton is a Magnesii Citricit vettem. Persze olcsóbb lenne, ha doki írná fel... Tavalyelőtt egyhavi adagot kiírt a doki a 20. héttől. 10 doboz volt havonta:lol: Persze ő másik doki, és nagyon sajnálom, hogy most nem őhozzá járok. Hiába, 100 km... :? A mégrégebbi dokim csak 20 km, de alkalmanként 8-9ezer pénz. Annyi nincs most :?



Fenci :)
Szia!
Olyan édes a kis Márk babátok :wink: :lol:
Meg tudnám rágni a kis talpacskáit :oops:
Mi is ilyen popsitörlőt használunk, csak a zöld változatát :)
Én még ilyen varrást nem láttam, először nem tudtam mi lehet a képen.


Pompom :)
Ajánlott plusz folsavat szedni, mert ami a terhesvitaminokban van, az nagyon kevés. Nemis értem miért terhesvitamin :evil:


Kata :)
Hát nem semmi, amit a kicsi fiad alkot :lol: Nem lehet könnyű. És majd hárommal...? Húúúú...............



Princzike :)
Kutyus előtt kertet rendezni? Felesleges :wink: Majd ő átrendezi úgyis :lol:
Nálunk a buxus, fagyal, tuja, borbolya, és egyebek már csak a fényképeken szépek :lol: :twisted: Megrágja, lerágja, kiássa, stb.
Mi lenne ha holnap tesztelnél egyet? Aki mer, az....hátha nyer :wink:
Szerintem felesleges hőmérőzni, az is egy tudat alatti lelki streszz. Na, ezért most sokan megköveznek biztos :oops:


Vicuska hol lehet???
Vendég
 


Még valami...

Pontosan hol van a petefészek? Mihez tudnám viszonyítani a helyzetét?
Időnként szúrkál lent a jobb oldalam, nem tudom hogy az ott a petefészkem lehet, vagy mi... :oops:
Vendég
 


princzike! azért drukkolok nagyon!!!

fenci! csodálatos baba!

KépKép
dike
 
 

Vissza: Fogamzás

Jegyzetfüzet: