A baba portál - Babanet.hu

Új privát üzeneted érkezett!

Társalgó főoldal » Fogamzás » Megterveztük a kisbabánk nemét


Sziasztok csajok!

Naysa!
Épp most msn-ezünk, így majd oda megírom a válszomat! :lol: :lol: :lol: :lol: :lol: :lol:

Akíra!
Várjuk az UH híreket!!
Nagyon kíváncsi vagyok!!!!!!!!!!!!!!

Kép
oriandy
 
 


Én ma vagyok a 30.napon, és ha ezt a ciklust is 35 naposnak veszem, akkor ugye még elvileg 5 nap és meg kellene jönnie pirinek. A ma reggeli hőm is 36.3 lett. 1x keltem Danihoz és az is hajnali 2-kor vol (igaz akkor elmentem pisilni is), a hőmet pedig a szokott időben 6.30-kor mértem. Vagyis nagyopn úgy néz ki, hogy a hasi görcsölések a mensit jelzik nem a babót. Mára a derekam is fájdogál kicsit. Amúgy semmi mást nem érzek, sem mellfeszülést (nekem ez mensi elött is szokott lenni), viszont nem tudom, de valahogy úgy látom, mintha a melleim nagyobbak lennének. Nem fájnak, nem feszülnek, mégis, mintha nagyobbnak látnám őket.

Lehet, hogy bolond vagyok, de úgy gondolom, hogy ha most sem jött össze babóka, akkor várhatna egy kicsit... Mondjuk augusztusig. Danival is akkor lettem terhes és láss csodát 4 nappal az én és a férjem (merthogy a párommal 1 napon van a szülinapunk) születésnapja után bújt ki a drágám!! Így legalább az egész család egykupacban ünnepelhetné a szülinapját!

Kép
oriandy
 
 


Sziasztok!
Azért Andy gondolom nem bánod majd, ha most jön össze a bébi! :D
Akíra, egyből írd meg, hogy mit láttatok az uh-on!
Én, ha minden igaz, holnapután megyek először dokihoz. Annyira kíváncsi vagyok már, hogy nem igaz. Főleg arra (egyenlőre ez a legfontosabb kérdés), hogy mekkora a bébike, és jó helyen van-e, egyedül van-e ( :D ). Már több mint 3 hete tudom, hogy terhes vagyok, és már nagyon várom, hogy egy orvos is megállapítsa hivatalosan. Drukkoljatok, hogy minden rendben legyen!
mókusmama1
 
 

 
 

Andy, még annyit (hogy beletegyem a bogarat a füledbe), hogy nekem is kb 33 napos a ciklusom, de a legutóbbi pl 37 volt, és én bizony nem bírtam csak a 28. napig, akkor csináltam a tesztet, és Huncutka varázstesztje tényleg kimutatta már akkor is a csíkokat. Hogy bírsz ellenállni?????? :lol:
mókusmama1
 
 


Mókusmama!

Nem tudom, de valahogy úgy érzem, tutira nem jött össze a baba!
Van tesztem asszem kettő is, de ez még akkor is korai lenne. Még elvileg 5 napom van hátra. A hasam is görcsölget, tehát minden összevág, hogy itt piri lesz és nem baba.
Meg tutdod, mi tart vissza??? Hogy annyi de annyi negatív tesztet láttam már!!! Nem akarok még 1-et!! Majd megjön piri és tudatja hogy még nincs babó a pocakban.....
VAGY?????

Kép
oriandy
 
 


Andy, hát én is ugyan így voltam evvel mint te! Nem tudom emlékszel-e de nekem 25.én kellett volna megjönnie, és én annyira éreztem, hogy nem vagyok terhes, hogy nem is csináltam tesztet! Hiába a hasfájás hiába minden, hisz az ugye menzi is lehet! Én 29.én csináltam tesztet, de akkor se szabad akaratomból hanem a párom nyomta a kezembe reggel a wc-be menet :lol:
És hát látod, már 19 hetes :wink:

Drukkolok nagyon!

Mókusmama neked is drukkolok, hogy minden ok legyen a dokinál! És gyere a hírekkel majd, és hozzál képet a kis pöttyről :)

KépKép
KépKép
akíra
 
 


Sziasztok!

Hajrá mindenkinek!

Éva

KépKépKép
agmano
 
 


Sziasztok! Én is csak benéztem, várom a híreket! :D Uff, még egy egész napot kell várnom, amíg a doki megnézi a bébit. De hosszú ez az idő! Már annyira kíváncsi vagyok!
mókusmama1
 
 


Naysa!
Én is örülök, hogy minden rendben van veletek.

Mókusmama!
Veled/tek is minden rendben lesz, várunk a hírekkel!!

Akíra!
Mennek a drukkok, hogy legyen ott kukac, gyere amint tudsz.

Andy!
Ne légy ennyire negatív!! Adj egy kis esélyt a babának, mert ha van, ne riaszd el őt. Amúgy mikor én is babás lettem, nekem is nagyon görcsölt a hasam, azt hittem, meg fog jönni. És most itt vagyok 3 hónappal szülés előtt. Szóval, ne könyvelj el még semmi rosszat!!

Családient.hu vonalzók

Családient.hu vonalzók
szerencse7
 
 


Sziasztok!

Andi!
Mikor babás lettem azon drukkoltam, hogy minél később jöjjön meg a mensim, hogy ne legyen decemberi kölök, meg alig vártam, hogy tesztelhessek és nézd meg, most itt mocorog a pocakomban. Nagyon érdekes az élet, "ember tervez, Isten végez"! Kívánom, hogy ne legyen már neked sem szükséged a tesztekre, esetleg csak egy hcg-re! :D

Nálun amúgy minden oké, szépen domborodik a pocakom. Tényleg igaz, hogy többedik terhességnél előbb kezd el látszódni. Jelenleg másfél kg fogyásnál tartok, de nem is baj, rámfér. :lol: Tegnap dinnyét ettem és nagyon ízlett a kiskölöknek, mert heves mocorgásba kezdett közben. Tök jó érzés, hogy még csak ilyen picurka, de már tudatja, hogy itt van! 30-án megyek dokihoz, remélem megmutatja a lába közét! :D :D :D

Kép
Kép
gyurmi
 
 


Sziasztok!

Tegnap voltam dokinál, minden ok, szépen fejlődik, mindent rendben talált!
Sajnos kislány... :cry: De majd csak túlteszem magam rajta :cry: Kyrát is fiúnak akartuk, de akkor nem voltam ennyire elkenődve attól hogy lány, mert tudtam két gyereket akarunk, és a második még lehet fiú....most már nagyon rosszul érintett, hogy lány....de lényeg hogy egészséges, és mire megszületik tuti el tudom fogadni, hogy a sors ezt szabta ki valamiért nekem! :cry: De egyenlőre csak sírni tudok :cry:

Megyek is csak ezt akartam mondani! :cry:

KépKép
KépKép
akíra
 
 


Akíra!
Ne kenődj már el ennyire! Legalább Kíra gyönyörű lányka ruháiba öltöztetheted majd, amihez gondolom millió emlék fűz és a két lány biztos nagyon jó testvér lesz. Gondolj arra, hogy semmi sincs ok nélkül, lehet, hogyha fiatok lett volna esetleg beteg lett volna vagy ki tudja... Szerintem épp ebben a topikban beszéltünk róla, hogy valakinek csak egynemű gyerekei lehetnek, mert azok a katonák voltak életképesek, egészségesek. Inkább éltessen az, hogy egészséges, szép baba lesz, aki rátok fog hasonlítani és ne emészd magad azon, amit már megváltoztatni úgysem lehet. A kicsi is érzi, hogyha mindíg szomorkodsz.

Kép
Kép
gyurmi
 
 


Akíra, sajnálom!

Tudom mit érzel! Fogod tudni szeretni őt is, legfeljebb még egyszer nekirugaszkodtok :lol: .
Sírd ki magad, aztán fel a fejjel és előre!
Sokan meg sem érdemlik és megkapják a sorstól a fiú-lányt, nem is tudják milyen szerencsések.

Üdv!

Éva

KépKépKép
agmano
 
 


Igen! Ez így van Éva! Én ugyan így érzem! És álltalában azok mondják, hogy milyen vagyok, és miért vagyok ilyen akikenek van fiúk is meg lányuk is! :? Akik sose érezték még ezt át! Szóval....
De most már jobban vagyok! Minden nap jobb lesz, érzem! :)
Érveket keresünk apával amiért sokkal jobb, hogy lány! És tudom, ha szánt nekem fiút a sors akkor valahogy jönni fog (becsúszik, vagy akárhogy :lol: ) Ugyhogy most próbálom pozitívan látni a világot! És tudom ez csak addig lesz nehéz amíg a kezembe nem veszem! Onnantól kezdve már nem fog eszembe jutni, hogy miért nem fiú! Ez Kyránál is így volt :) Ugyhogy veszek egy mély lélegzetet és megyek tovább! :)

KépKép
KépKép
akíra
 
 


Sajnos fogsz még gyötrődni szülés után is, már a kórteremben, de ne érezd magad gonosznak, a kislányod így is a maximumot fogja megkapni Tőled. Majd eljön a Ti időtök!
És tényleg néha úgy érzem így is teljes az életünk. Büszke vagyok a fiaimra, aztán megint elfog a vágy egy kislány után.
De egyelőre ez van. Bíztat, hogy olyan sokaknak sikerült! Lásd Tulipán!

Üdv!

Éva

KépKépKép
agmano
 
 


Sziasztok!

Akíra: Sajnálom, hogy nem jött össze a kisfiú. Biztos nehéz lesz még pár napig, de meglásd mire szülésre kerül a sor addigra megbékélsz vele. Én is ez okból szeretném megtudni, hogy milyen nemű babus lapul a pocakomban.

Agmano: Ahogy olvasom, Tulipánnak egyedül jött be a topikon a kivánt nem.

Andy: Hogy vagy, van valami fejlemény?

Naysa
naysa
 
 


Azért van másik topic is... és Tulipán "elődei"?
agmano
 
 


Sziasztok!

Már jóideje olvasgatlak benneteket, nagyon érdekel ez a téma, de úgy voltam vele h amíg nem válik teljesen aktuálissá a dolog nálam, addig nem regisztrálok csak olvasgatok (és sajnos úgy tűnik h most még egy picit távolabb is kerültem tőle.. :( )na de most nem is ez a lényeg.. Szóval veletek együtt szoktam izgulni és most Akírát olvasva már nem tudtam megállni h ne regisztráljak.
Igazából engem is elszomorított h ahogy Naysa is írja, Marcsi óta gyakorlatilag mindenkinek pont az ellenkező nemű baba sikerült, mint amit szeretett volna :( :( Pedig a topik elején még volt egy jó pár lelkesítő hozzászólás..hát én már nem is tudom...Viszont ahogy visszaolvastam a hozzászólásaitokat Naysa és Mókusmama: úgy tűnik h nálatok minden klappolt, úgy értem h az időzítés is meg minden, ugye? Rettentő kíváncsi vagyok már rátok! Meg persze a többiekre is!

Ja igen, Akíra neked akartam még írni: nem tudom hogyan álltok 3. baba kérdésben, de a topik elején volt egy lány, aki írta a történetét, ők uh-val figyelték a peteérését és így össze is jött nekik a kívánt nemű babó, én ugyan nem vagyok egy szakértő ezen a téren, de nekem is jóval megbízhatóbbnak tűnik ez mint a tetsztelgetés. Szóval ezt nem próbálnátok meg esetleg? Meg téged is visszaolvastalak és azt írtad h neked sajnos kitolódott a pé-d, ezáltal ugye igencsak a kislánynak adva nagyobb esélyt. És ha így nézzük, akkor nagyon is h működik a dolog! Persze tudom h ez most téged egyáltalán nem vígasztal.. :(
De fel a fejjel!! Fiatal vagy még, énszerintem még simán lehet neked fiacskád! Addig is sok örömöt kívánok a 2 lányzóhoz! Én a magam részéről imádom a kiscsajszikat is :P
Uh-n kaptál képet? (tényleg és amúgy már 100%-ra mondták a kislányt?) Ha kaptál, esetleg tedd fel ide nekünk pici Fannit :)

Na bocsi h rögtön elsőre ilyen hosszúra sikeredtem... :lol:

További szép vasárnapot mindenkinek!
Vendég
 


Sziasztok!

Bocsi az eltűnésért, de pénteken vizsgám volt, utána meg elutaztunk a szüleimhez.
Velem a helyzet az, hogy péntek óta nem vagyok túl jól. A vérnyomásom a béka feneke alatt van és sokszor érzem úgy, hogy el fogok ájulni. Hogy mitől????
Piri még nem jelentkezett, és egyenlőre tünetem sincs hogy akarna jönni. Viszont álomkórban szenvedek. A mai napot majdnem teljes egészében átaludtam.
A hőm valamelyest feljebb ment: 36.4-re. Kinek mit jelent, nem tudom, nekem a 36.1-hez képest magasabb, de szerintem még mindig nem megfelelő a baba dologhoz.....
Mindegy, a napokban majd úgyis elválik, mi lesz!

Ma a sógornőm akaratlanul is megforgatta a szívemben a kést...
Persze, örülök az örömüknek, hogy nekik elsőre összejött tesó baba, de azért az mésigcsak durva volt számomra, hogy ma ebéd közben az asztalnál azt boncolgatták, hogy milyen nevet adjanak majd a babának!! Még csak 7-8 hetes, és ráadásul tudja, hogy nekem milyen szar, hogy 8 hónapja várunk a csodára!!!
Na, mindegy!

Akíra
Sajnálom!!!
De hidd el, őt is ugyan annyira fogod szeretni!
Én most már azon a szinten vagyok, hogy teljesen mindegy, csak legyen már! Nagyon úgy érzem, hogy ez a hónap sem a mienk volt....

Üdv köztünk Galatea!
Miért kerültél most távolabb a dologtól? Mikortól indul a baba project?
És ami a legfontosabb: milyen neű bébire vágysz?

Kép
oriandy
 
 


Sziasztok!

Köszönöm a kedves szavakat! Jól esett mindenkitől!

Igen, van olyan, hogy peteérés ultrahang csak nem mindenki csinál olyat! Az én dokim akihez jártam mikor Fanni fogant nem csinált! Egyébként a barátnőm az aki peteérés uh-ra járt és így lett fia! De hát nekem nem adatott meg az a lehetőség! Sajnos a tesztelgetés hol bejön hol nem! Mert, hogy ugye nekem nem jelzett egyáltalán a teszt! Vagyis egész hónapba ugyanolyan erősségű volt! Vonal, de halvány! Szóval ezért is mondom, hogy nagyon akart jönni Fanni valamiért! És ha így van, én elfogadom, és reménykedek benne, hogy egyszer megszületik az a törvény, hogy igenis kiválaszthassuk a gyerekünk nemét, és nekem is megadasson a csoda, hogy egy kisfiú anyukája lehetek! :)

Egyébként már sokkal jobban vagyok! Igaz még nem az igazi, de már 2 napja nem sírtam :lol: :wink:

Képek! Hát felteszem a képeket amiket kaptam, de a doki pont az arcáról nem csinált képet :evil: Szomorú is vagyok, mert videón rá is közelített az arcára és mutatta is, hogy ilyen most, és ki is tárgyaltuk, hogy már nem is olyan ufó :lol: de mégse nyomtatott belőle :cry:

Szóval van egy a fejéről a hasáról és a combijáról! Ezeket felteszem :)

Kép Kép Kép

Andy, hát szerintem ott lesz valami! Drukkolok nagyon! :wink:

Ja, és hogy 100%ra mondta-e hogy kislány! Hát az úgy volt, hogy 10 percnyi uh fej rángatás után kijelentette, hogy a nemébe nem tud segíteni nekünk! Erre mondtuk, hogy pedig azt aztán igazán szeretnénk tudni! Erre rángatta még 1 percig és végül benyögte, hogy na jó akkor lány! :roll: Igazából nem volt élvezhető az egész (na jó tudom ez nem babamozi, csak genetikai uh) szóval én semmit nem tudok kivenni kvázi az uh felvételből mert annyira rángatta! :? De én elhiszem neki ha ő azt mondja, hogy lány! Még a papíromra is ráírta! :?

KépKép
KépKép
akíra
 
 


Kép

Kép
oriandy
 
 


Sziasztok!
Ajaj, pörögnek az események. Akíra, én is csak vigasztalni tudlak. Az a helyzet, hogy nagyon meg tudom érteni, hogy milyen érzés lehet, hogy pont a másik nem jött össze......de ne szomorkodj! Inkább mondok még pár érvet, miért jó 2 kislány. 1, jól össze fognak nőni, mert kicsi a korkülönbség köztük, és egyneműek, a legjobb barátnők lesznek, és ezt egy anyának nagyon jó nézni! 2, nagykorukban is mindig hozzád fognak húzni, és soha nem fognak tőled elszakadni, mert ugye az esetek többségében a párocskák inkább a lány szüleihez húznak.....3, susmutolhattok lányos dolgokat, amit ugye egy fiúval soha nem lehet csinálni :D , 4, egy lány (és kettő is) sokkal nyugisabb mint egy fiú, és persze még sorolhatnám. RÁADÁSUL a 3. gyerek kisfiú lesz!!!! Úgyhogy ne szomorkodj, még van kifutási időd!

Andy! Hogy állsz? Még két nap, és minden kiderül! Én már biztosan csináltam volna egy tesztet a helyedben. :lol: :lol: :lol:

Igen, én is levontam a szomorú konklúziót: eddig még csak Marcsinak jött be a kívánt nem......de hát 4. próbálkozásra azt hiszem tényleg megérdemelete!

Én meg voltam dokinal, minden oké szerencsére, csak mondjuk túl sokat még nem lehetett látni. 2 hét múlva kell visszamennem. Én nem tudom mikor foganhatott ez a kedves kis bébike, ugyanis az uh szerint kb egy héttel azután, mint ahogy én számoltam. Ki érti ezt. Remélem ez legalább azt jelenti, hogy a katonák jó sokáig várakoztak, míg valamelyik célba ért, TEHÁT jó eséllyel kislány (az elméletünk szerint, ugyebár) Aztán persze majd kiderül, csak arra még rengeteget kell várni.

Galatea, üdv köztünk. MINDENKI így kezdi, először csak olvasgatja a fórumot, aztán egy ponton úgy érzi, hogy most már csatlakozni kell. :lol:
mókusmama1
 
 


Sziasztok!

Andy! Most már hamarosan biztos ti is tanakodhattok a kistesó nevén, szorítok hozzá nagyon!
Nálam a fő probléma most az h a párommal az utóbbi időben a viszonyunk nem igazán mondható felhőtlennek és ilyenkor azért mindig elgondolkodom h szabad-e egyáltalán belevágni...Mert a gyerekeket ugyan szereti ő is nagyon, ezzel a részével nincs is semmi gond. Amúgy meg nem is tudom h mennyire lenne partner ebben a nembefolyásolásban..Mikor beszélgettünk erről csak annyit mondott (hozzáteszem nagyon örülök h ezt mondta!!) h akár fiú lenne, akár lány, ő ugyanúgy szeretné.
Az én nagy vágyam pedig az h legyen fiam is és lányom is és mindezt 2 gyerkőcből.. :lol: Hab a tortán az lenne ha elsőre fiúcska, másodikra kislány sikerülne. Én ezt annyira idillinek tartom h nem is hiszem el h nekem ez összejönne csak úgy spontán...pedig szép lenne. Látod milyen jó neked, neked erre nagyon jó esélyeid vannak! :)

Hű, hát ezekhez a képekhez az én szemem elég szakavatatlan, de azért nagyon cuki! :) Gondolom a 3.képen látható a 2 combja, a doki vajon ebből hogyan látja a kis micsodáját...persze tudom h ő ezt tanulta meg már ezer ilyet látott..
Amúgy amit írtál Akíra h vmiért ez a baba nagyon hozzátok akart jönni, ebben én is hiszek! Hogy úgy fogalmazzak, biztos van vmi küldetése itt Fanninak :wink:
És sztem ezzel énis így leszek, valószínűleg be fogok próbálkozni, aztán ha nem jön össze akkor erre fogok gondolni :)

Mókusmama ez a -1 hét sztem is bíztató, én is nagyon kíváncsi leszek... :lol:

Na ha lesz nálam vmi fejlemény, majd akkor még jövök vissza közétek, asszem most kicsit visszaváltok olvasó üzemmódba :)

Vigyázzatok magatokra, mindenkinek sok boldogságot és jó egészséget kívánok!
Vendég
 


Sziasztok!

Andi, ne add fel a próbálkozásokat, ha kislányra vágysz, akkor tégy meg érte mindent, különben bánni fogod! Ha pedig tényleg mindegy, akkor pe-kor is mehet a dolog....
De legbelül azt érzed, hogy nem mindegy, igaz?
Megnyugtatásul borítékolom, hogy a tesódéknál kislány lesz, nem hasfájós, nyugodt kis tündér.
Én is így jártam, de nem vagyok irígy.

Éva

KépKépKép
agmano
 
 


Andy, merre vagy? Ma jelentést kéne írnod!!!!!!! :shock:
mókusmama1
 
 


Sziasztok!

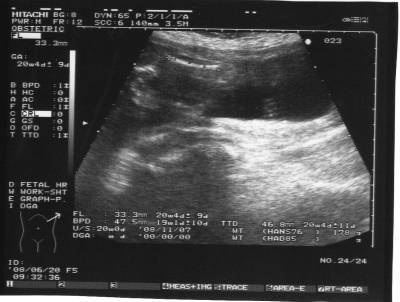
Megjöttem az uh-ról.
BPD: 4,3 cm
HC: 15,6 cm
AC: 13,6 cm
FL: 2,7 cm
OFD: 5,4 cm

Minden rendben vele, csak kicsit aggaszt, hogy a méhlepény hátsó fali, az alsó polusa eléri a belső méhszáj szélét.

Sajna nem tudták 100%-ra megmondani, hogy mi a neme. Az orvos szerint inkább kislány.
Szóval nem tudom, de szerintem nekünk se jött be a várvavárt nem.
4D -re augusztusban megyünk.

Naysa
naysa
 
 


Sziasztok!

Mókusmama!
Helyzetjelentés? Hát, azon kívül, hogy ma kellett volna megjönnie, és semmi jele pirinek, semmi különöset nem tudok mondani. Sokstor roszzul vagyok, de ezt inkább a kuka melegnek tudom be. Tesztelni csak 1 hét múlva fogok, ha addig nem jön meg!!

Hát, egyenlőre ennyi! :roll: :lol:

Kép
oriandy
 
 


Agmano!

[quote]D írta:e legbelül azt érzed, hogy nem mindegy, igaz?


Szívemből szóltál!!
Valóban úgy van, hogy azt mondom most, hogy mindegy a neme, csak már jöjjön, de ha meg jön és nem a kívánt neme lesz (mondjuk a nem odafigyelésem miatt), akkor meg biztosan bosszantana, hogy tehettem volna az ügy érdekében, és egyáltalán nem lett volna megeröltető számomra.

Kép
oriandy
 
 


EGY HÉT MÚLVA?????????? Ne idegelj minket!!!!!!!!! :lol:
Csinálj egy tesztet és csak nekem mutasd meg, te se nézd meg! :lol:
Azért a lekiismereted nyugodt lehet most is, mert megtettetek mindent a kislány érdekében! (és most össze is jött)
mókusmama1
 
 


Andy!

Ez tök bíztató, hogy ma kellett volna megjönnie és piri sehol. Ebből baba lesz! Hidd el, én boszorkány vagyok, már sokan mondták! Az pedig, hogy fiú vagy lány, úgy érzem, tényleg sokat vártál a tesóra, és megértem, hogy már szinte mindegy. Ja, és mint írtam, az elküldött teszt meghozza a szerencsédet, és már nem kell több teszt egy pozitív HCG-n kívül. Ez is kezd beigazolódni. 1 hetet meg én sem tudok kivárni, te hogy birod megállni? Én is szeretném látni azt a pozitív tesztet!! Egyezzünk meg, ma 24-e kedd van (piri várható ideje), ha csütörtök estig nem jelentkezik piri (de miért is tenné), akkor péntek reggel jössz nekünk egy teszt képpel. Ok? Még a kevés HCG-t kimutató tesztek is a mensi utáni 3. napon már mutatnak valamit. Na de neked meg hiper szuper érzékenységűd van, úgyhogy csak hajrá. Megegyeztünk? Már várom a péntek reggelt.

Naysa!
Örülök, hogy minden rendben. A lepény pedig még változhat, ne aggódj. Az, hogy nem tudtak nemet mondani, nem csoda, hisz a kórházi 2 D-s UH-ok nem mind jó minőségűek, így nem is lehet vele 100%-ra megmondani. Így ne törődj egyenlőre azzal, hogy lányt mondtak talánra.

Mókusmama!
Veletek minden rendben?

Családient.hu vonalzók

Családient.hu vonalzók
szerencse7
 
 


Sziasztok! Szép jó reggelt mindenkinek!

Szebbet és jobbat is, mint ahogy nekem indult....
Bölcsibe menet majdnem elütöttek minket a gyalogátkelőn. Megállt egy autós, hogy átengedje a nekem szemből jövő nénit bicajjal, gondoltam, ha ő megy, megyek én is, hiszen átenged. De nem így tett. Pedig a nénivel egy időben indultunk, de ez a barom majdnem elütött a gyerekkel együtt. (mi is biciklivel voltunk) A néni ugye elöbb elhaladt elötte, mert az ő feléről indult, és azt nem nézte, hogy a másik oldalról is jön-e valaki. És még neki állt följebb! Mutogatott. Erre idegességemben visszaszóltam neki, hogy ha 1 gyalogost átenged, akkor a többit is köteles. Kb 5 cm volt az autó eleje és a bicajom között!!!

A másik, hogy megint szarul vagyok. Érdekes, ha eszek az a bajom, ha nem, akkor meg az. Úgy szar a gyomrom, ahogy van!
Ráadásul a kicsit szűkebb gatyákat nem bírom elviselni, mert ha abban vagyok, akkor vagyok szarul. Pedig most fogytam 6.5 kg-ot és most lett jó rám ez a gatyóm, most mégis ettől vagyok rosszul. pedig nem híztam vissza egy dekát sem!
De nem panaszkodok, mert úgyis az a válasza mindenkinek, hogy : teszt???
Márpedig én még egy darabig nem akarok csinálni!
Hogy miért? Nem tudom, talán babona, vagy tudomisén! Annyi negatív tesztet láttam már..... Elég volt. Ha meg meg akar jönni, úgyis megjön! Vagy nem jól gondolom????

Lányok!
Tudom, hogy ti mind optimisták vagytok, de én annyira azért nem!
Meglátjuk ezt a tesztelős doglot, jó??
Nem ígérek semmit, de ha nagyon nem bírom én sem, megcsinálom! OK???

Kép
oriandy
 
 


heló mindenki! Andy, nekünk az a dolgunk, hogy nyomást gyakoroljunk rád! Hihihihiihih! Úgyhogy ne várj sokat azzal a teszttel! Pozitívat se akarsz látni????? :lol:
Oké, várj még egy napot, de aztán hajrá! Huncutka féle teszt nekem 6-7 nappal a FOGAMZÁS után kimutatta a csíkokat.
Ez a rosszullét gyanús! Nagyon hasonlít az én tüneteimhez, pedig én bizonyítottan terhes vagyok! :D

Igen, igen, minden rendben velünk, mondjuk egész nap émelygek, meg hányingerem van, pedig az előző terhességnél semmi ilyesmit nem éreztem. De csak túlélem. Eddig még mindenki túlélte.
mókusmama1
 
 


Különben, Andy ne vegyél komolyan! :lol: Akkor csinálj tesztet, amikor te szeretnél! A lényeg, hogy mi tényleg optimistán állunk a dologhoz, és nagyon bízunk ennek a hónapnak a sikerességében. És hát valljuk be, nincs is semmi jel, ami arra utalna, hogy nincs alapja a feltevésünknek. :wink:
mókusmama1
 
 


Mókusmama!

Köszi!!!!! :wink: :lol: :lol: :lol: :lol: :lol: :lol: :lol:

Kép
oriandy
 
 


Csajok!

Ki mit tud arról, hogy az LH tesztet lehet használni terhességi jóstesztként is!? Az csak a reggeli első pisiből jó??
Mert én most csináltam és ott van rajta mindkét csík!
Teszek fel képet, bár szerintem ebből nem láttok semmit, hiszen webkamerával készült és elég homályos. Ha tudok, majd teszek másikat is, csak most gyorsan......

Kép

Vélemény????

Kép
oriandy
 
 


Andy, hcg teszted is van? Szerintem azt használd, mert az lh tesztből nem nagyon lehet pontosan következtetni. (de látom, már beletettük a bogarat a füledbe :D )
Sőt, gyanítom, hogy az a hiperérzékeny Huncutka-féle hcg teszt nem csak a reggeli vizeletből mutatja ki az eredményt. (Aztán persze lehet, hogy tévedek.)
Tünetek?
mókusmama1
 
 


Andy!

A Closty-nak rendeznie kéne a mensit, tehát, pontosan kéne neki megjönnie. Szerintem is lehet ott bent valaki! :D Szorítok! +++++++++++++++++++++++++++++++++++++++++

Kép
Kép
gyurmi
 
 


Andy, mai hírek???
mókusmama1
 
 


Sziasztok Lányok!

Hát.... Nincs jó kedvem!!!
Ma reggel csináltam egy tesztet és az eredmény:
Kép

Valahogy nem ezt vártam, nem erre számítottam! Hiszen minden összevágott ebben a hónapban: elcsíptük Jónáskát, 2 naponta volt akció, sőt az LH tesztem 3 napig volt erősen pozitív! Vagyis peteérésem is volt tutira. És mégis.....
Eleinte meg akartam magyarázni magamnak, hogy lehet csak azért negatív, mert 25-ös erősségű csak a teszt és még biztosan korai, de nem hiszem, mert ugye már 3 napja meg kellett volna jönnie!

Eléggé magam alatt vagyok.....
Majd még jövök, ha lesz erőm!

Andy

Kép
oriandy
 
 


...hát pedig, Andy, nagyon lehet, hogy ez a teszt még nem mutatja ki! Mondom, nekem az előző terhességnél egy héttel a m elmaradása után mutatta ki először TÖK halványan. És én is csináltam tesztet előtte is, ami teljesen negatív lett. (le is mondtam róla)
Most pedig 10-es teszttel a m elmaradása napján ISZONYAT halványan, de kimutatta. Bízzál még légyszi ebben! Elvileg már 3 napja meg kellett volna jönnie, nem? És sehol semmi. HÁTHA!!!!!! HÁTHA!!!!! (ez milyen teszt?) Drukkolunk!
mókusmama1
 
 


sőt, a tesómnak, egy héttel a m után sem mutatta még ki......jut eszembe
mókusmama1
 
 


csak bíztatlak
mókusmama1
 
 


Mókusmama!

Mindegy, én már akkor sem bízok benne!!!!
Ma este elmegyek a dokimhoz, mert bosszant, hogy megint késik, pedig nincs is baba, meg hogy 1 hete szabályoan rosszul vagyok!!!!
Ilyen teszt volt ez: (DM-ben vettem!)
Kép

Kép
oriandy
 
 


aha, ismerem. (láttam már ilyet a polcokon)
Ha már elmész a dokihoz, legalább megállapítja "biztosra", hogy sikeres volt-e ez a hónap (merthát ugye ez még BŐVEN benne van a pakliban). Majd írj beszámolót. Drukkolunk.
mókusmama1
 
 


Sziasztok!
Nem mentem el ma dokihoz. valahogy nem volt erőm!
Kicsit magam alá zuhantam, már sírtam is és sikerült apával is jól összeveszni (vagyis csak vitáztunk, mert én úgy veszem észre hogy őt nem is érdekli a 8 hónapja tartó sikertelenség).
:cry: :cry: :cry:
De.....
Én a mostani sikertelenséget talán annak tudom be, hogy a Closti még nem érte el kellő hatását, vagyis ugyan segített a peteérésben, de annyira nem volt hatásos, hogy baba is legyen belőle. Majd talán a 2. vagy a 3. hónapban!
Komolyan csak ebben bízok! A dokim azt mondta, hogy nincs olyan nagy baj nálam, így a 3 hónap alatt azért össze kell jönnie. Csak valószínűleg én voltam nagyon türelmetlen és mindjárt az első hónapban vártam a csodát. De be kell látnom, hogy : A TÜRELEM BABÁT TEREM! :wink: :lol:

Kép
oriandy
 
 


Andy, a múlt hónapban hány napig tartott a ciklusod? Akkor lehet, hogy most is csak ilyen hosszúra nyúlik? Mert még nem jött meg, ugye? Akkor még mindig kétesélyes a dolog, vagy nem bízol ebben?
mókusmama1
 
 


A múlt hónapi ciklusom 48 napos volt, de az azért, mert ugye nem volt rendesen peteérésem, és ezért jött meg későn/nehezen (de magától). Most volt ugyan peteérésem, de talán nem olyan mértékű, hogy sikeres lehessen a megtermékenyítés. Most tartok a 38. ciklusnapomon. Sokan azt mondják, a Closti megnyújthatja a ciklust, sokan meg azt, hogy be kell állítania. Szóval nem tudom. Piri még nem adott jelet magáról, néha ugyan érzem, hogy picit mintha görcsölgetne a hasam, de nem vészes. Abban már nem bízok, hogy most sikerült, és talán mára már nem vagyok úgy elkeseredve sem. tegnap jól kisírtam magam, most jobban vagyok lelkileg. Elhatároztam, hogy a következő ciklusban veszek barátcserje kapszulát is, szedem majd ugye a Clostit, és iszom a gyógyteákat, hogy mindennel segíteni tudjam a megfelelő peteérést. Hát, meglátjuk. Megfogadtam magamnak, hogy ezeken kívül (azon, hogy szedem a gyógyist meg iszom a teát, és max. LH tesztelek) nem foglalkozok a baba dologgal. Vagyis ha sikerül, másra szeretnék koncentrálni, mert szerintem - és sokak szerint is - már túlságosan rá koncentrálok. Jó, persze biztos van benne valami és nem kéne, de 8 sikertelen hónap után ez nem megy ilyen könnyen. Még az elején, amikor elkezdtünk próbálkozni, nem is érdekelt, hogy nem jött össze, de 8 hónap után.... Azért talán kicsit meglehet érteni a kiborulásomat! Vagy nem?
De összeszedtem magam, és próbálom a dolgok pozitív oldalát nézni mindennek!
Persze ez most nem a búcsú szövegem! Azért fogok én még jönni hozzátok, főleg, hogy a még kisterhes kismamiknak összejött-e a kívánt nem, meg hogy ki hogy halad és milyen a várandóssága.

Húúúú
Jó hosszúra sikeredtem! :wink:

Kép
oriandy
 
 


Andy!
Teljesen átérzem a helyzetedet, de csak azt tudom mondani, hogy ne add fel a reményt! Én is hasonló helyzetben voltam, mint most te, de én rögtön az első gyereknél, azt hittem, hogy nekem talán sohasem lesz gyerekem. 2004 szeptemberében kezdtünk el élesben próbálkozni, de előtte sem védekeztünk, csak vigyáztunk, hogy be ne csússzon. 2005 tavaszán mentem el dokihoz, hogy vajon miért nem estem még teherbe 6 hónap alatt, ekkor derült ki, hogy magas volt a prolaktin szintem, amire én is a Closti-t szedtem. Ekkor úgy voltam vele, hogy akkor állítsuk be rendesen a hormonszintemet, nem "küszködöm" feleslegesen. Nekem a harmadik kúra alatt jött össze a manó, júniusban estem teherbe. Teljesen lefoglalt akkor a munkám és az állandó program (vérvétel, lelet, doki, gyogyó, vérvétel, lelet, doki...), akkor már nem gondoltam görcsösen a gyerekre, csak arra, hogy végre rendben legyenek a hormonjaim és utána tuti összejön. Eléggé nehéz időszak volt, de csak sikerült.
Neked már van egy szép nagy fiad, aki annyi örömet okoz, próbálj belé kapaszkodni, adjon erőt neked, hogy egyszer már sikerült, másodszor is fog. Pláne ha lány lenne... :D :D :D És ami a legfontosabb ne stresszelj, a dokid is megmondta, hogy türelem gyerkőcöt terem.
Ja amúgy még annyit, hogy nekem az elmaradt mensi után 5 nappal csak nagyon halványan mutatta ki a teszt a terhességet. :roll:

Kép
Kép
gyurmi
 
 


Sziasztok!

Én is itt vagyok ám, csak közben voltak nálunk történések...
Csüt. este (kiborulásom napján) jól összevesztem apával, mert úgy éreztem, hogy őt egyáltalán nem zavarja, hogy már 8 hónapja sikertelenük próbálkozunk!!!! Persze biztos nem így van, max. ő nem tudja annyira kimutatni ezt az érzést.
Na, de azóta lehiggadtunk, és szent a béke. Megfogadtam, hogy a következő hónapban nem fogok ennyire görcsösen a babával foglalkozni. Csak 1 baj van! Azért érdekelne pl. a hőm is, hogy ha valóban terhes leszek, nekem hol lesz... Meg a kislány érdekében azért nem ártana az ovu tesztelgetés, nem is beszélek a gyógyszerről, amit szedek és teákról, amiket majd iszok. Szóval valahogy nem tudok majd nem arra figyelni. Na mindegy!
Lesz, ami lesz!!!!
Amúgy most egy hétig magunk vagyunk apával....
Dani nyaral a maminál (anyósnál). Nagyon furcsa, hogy nincs itt velünk és máris rettenetesen hiányzik, pedig csak tegnap este vittük el. Szólt anyósom, hogy leállás lesz náluk a gyárban és nem lehetne-e ott 1 hetet a kisunokájuk, hiszen úgyis igen ritkán látják:
5-6 hetente egy hétvége.
Így, most hogy egész nap magam vagyok, nekiugrok a lakás nagytakarításának. Már elkértem a keresztszüleimtől a takarítógépet és szőnyeget meg a textilbőr ülőgarnitúrát is kitisztítom, mert Dani előszeretettel issza ott a kakaót, és hát nem egyszer kicsorgatta már!! Nagyon ronda, foltos.
Na, nem azt mondom, hogy ezután már nem fog ott kakaózni őnagysága, max. jobban odafigyelek rá, és megpróbálom neki elmagyarázni mi is a helyzet!
Szóval, unatkozni nem fogok.
Magamról: piri még mindig sehol. Bizonytalan vagyok a dokival kapcsolatban, mert az utolsó találkozásunkkor azt mondta, hogy akkor menjek vissza hozzá, ha a 3 hónap Closti után sincs baba, vagy ha terhes vagyok. Na most nekem a tesztem negatív lett és a hőm sem támasztja alá, hogy esetleg korai volt. Most menjek megint vissza hozzá, hogy megint késik 1 hete, de terhes nem vagyok??? A múltkor is megnézett Uh-al és azt mondta, valóban nem vagyok terhes, van egy megvastagodott nyálkahártyám és valószínűleg hamarosan meg fog jönni. Még vártam 1 hetet és akkor meg is jött. Akkor most megint menjek el hozzá??? Most már majd azt mondja magában, hogy türelmetlen vagyok és nem várom meg soha hogy megjöjjön, hanem egyből szaladok hozzá. Vagy nem???? NEM TUDOM!!!!! TANÁCSTALAN VAGYOK!!!!!!!

Gyurmi!
Köszi a bíztatást!
Mi is pont azt beszéltük a párommal, hogy adjon erőt nekünk a továbbiakban a kis szőke hercegünk, aztán jön tesóka, amikor jönni akar! Tegnap tesómékkal voltunk a Balcsin és olyan jó volt, hogy már egyáltalán nem gonoltam "irigykedve" arra hogy náluk jön a második. Eddig sem így volt, csak egy iciri picirit volt kényelmetlen számomra a helyzet, de most láss csodát, egyáltalán nem. Beletörődtem, hogy nekünk egyenlőre nem szánt a sors tesóbabát. Majd csak később.

Kép
oriandy
 
 


Sziasztok!
Andy, ha el akarsz menni a dokihoz, akkor menjél nyugodtan, és ne izgasson, hogy mit gondol. Lehet, hogy nem is gondol semmit. Biztos vagyok benne, hogy látott már 2000 nálad sokkal türelmetlenebb csajszit. Lehet, hogy ez meg fog kicsit nyugtatni. Legalább tudod, hogy mire számíts. Vagy várj még 2 napot, és utána menj el hozzá.

Többiek, hogy vagytok? Hol vagytok?
mókusmama1
 
 

Vissza: Fogamzás

Jegyzetfüzet: