A baba portál - Babanet.hu

Új privát üzeneted érkezett!

Társalgó főoldal » Szülészetek, kórházak » "Budai Meddõségi Centrumba járunk"


Ez a lapető hozzon szerencsét Vevikknek és persze nekem így az első napomon.
vicky79
Budapest III. kerület
 
 


Vicky: szorítok Neked. Én is bankban dolgozom :)
Vendég
 


Hát meg volt az első napom. Jól elfáradtam. A vezetés egész jól ment, visszafelé a Lágymányisin kínlódtam egy kicsit, de alapvetően inkább a dugóval volt gondom. Mindegy, így sem 2,5 óra volt. Odabent mindenki örült nekem, jó sok melóm lesz. Sokat leszek a belvárosban, ami jó mert gyorsabb és olcsóbb. Barbus egyébként nem sírt sokáig a bölcsiben, holnap reggel apa viszi. Jól viselkedett, csak a kenyér félét nem akarja megenni.

Vevikk: Mi volt ma?
vicky79
Budapest III. kerület
 
 

 
 

Drága Mieza, nagyon örülök, hogy jöttél!! Köszönöm nagyon a bíztató sorokat, nagyon jól jött. Remélem jól vagytok, és boldogan éled a fiús anyukák és szuperfeleségek életét :))

Vevikk, gyere majd a jóhírekkel, mert csajok nagyon izgulnak ám!! :)

Vicky, hajrá meló! Gondolom, hogy elfáradtál, sok erőt a kezdéshez, ügyi leszel!!

Nekem ma jött meg, már azt hittem sosem jön meg, majd egy hétig nem volt semmi, pedig 1 hete hagytam abba a crinone-t.Párom még a mai napig reménykedett, hiába mondtam neki, hogy ilyen zuhanó hcg mellett ez lehetetlen. Viszont ma miután megjött, olyan szarul lettem, nekem nem szokott görcsölni a hasam, na most ezt is megkaptam. Úgyhogy ma du. sokmindenre nem vagyok képes.
Túl vagyunk végre a temetésen is, gondoltam mostmár csak jó jöhet.
Na ma reggelre nyikorgó csikorgó fura hangokat adott az autóm..ott is kellett hagynom a szerelőnél. Soha jobbkor menstruáció, mint amikor szerelőtől gyalog kell hazamenni, ráadásul egy szatyor cuccal, mert 7végén nem voltam itthon. A legtöbb cuccot természetesen az autóban hagytam. No mind1, végre sétálhattam egyet :))
ann74
 
 


Ann: Nem volt valami jó periódusod, de remélem már csak jobb jöhet. Autódat is sajnálom, remélem nem fog túl sokba kerülni. Én is rettegek tőle, hogy valami baja lesz a kicsikémnek, pedig most téli gumit kell majd vennem.
vicky79
Budapest III. kerület
 
 


Vevikk:
mik a hírek???

Kakti

KépKép

KépKép
kakti
 
 


Bocsika, hogy tegnap nem jöttem, de olyan fáradt voltam, hogy egész délután aludtam, utána meg Donika igényelt 200%-ot belőlem.
A Crinone-tól álandóan aludnék. Így volt ez a Utro-val is anno.

Hírek: 7 mm-es petezsák. :) Sajnos csak egy, de a férjem örül, hogy csak egy, mert 3 gyerekkel még a kocsit is le kellene cserélni. :)
Jövő héten szerdán vagy csütörtökön kell mennem utolsó uh-ra.

Majd hozok képet is, ha lesz erőm és időm bíbelődni vele.

Vicky!
Remélem mielőbb megszokod újra a melóhelyet!!! Sok erőt kívánok hozzá.

Ann!
Remélem már jobban vagy!!!

Kép

Kép
vevikk
 
 


Vevikk: Gratula a petezsákhoz. Várjuk a többi hírt.

Meló alakul. Nagyon fáradt vagyok, de jó dolgozni. Barbus is egyre jobban bírja a bölcsit. Délelőttönként még sírdogál, de eszik és alszik.
vicky79
Budapest III. kerület
 
 


Vevik, tudtam tudtam tudtam!!! Vigyázz nagyon magadra!!!
ann74
 
 


Sziasztok!
Én most kezdem a lombikot.
Skriba Eszterhez járunk.
A mai napon adott papírokat a vizsgálathoz.
Átjárhatóságira is kell mennem. Mondta, hogy ahhoz keressek orvost. Szeretném megkérdezni tőletek, hogy azt a körzeti nőgyógyásznál kell kérni? Vagy ha nem , akkor hol kell?Én azt hittem, hogy ezt a vizsgálatokat a BMC-be megcsinálják.

Meg ha tudna nekem valaki adni valami tájékoztatást, hogy , hogy mennek a vizsgálatok, meg az egész herce-hurca a MBC-be.

Köszönöm előre is a segítséget
:)
kockasfulunyul
Budapest XV. kerület
 
 


Nekem még annak idején a saját nőgyógyászom csinálta az átjárhatóságit, de én is úgy tudtam, hogy megcsinálják a BMC-ben. Bővebbet nem nagyon tudok mondani, mert nekem inszeminációm volt.
vicky79
Budapest III. kerület
 
 


Nekem anno az átjárhatóságit a Jánosban csinálták de a saját nőgyógyászom.

Ma már az a módi, hogy majdnem minden vizsgálatot a saját orvosoddal kell megcsináltatni. Sajna - gondolom - nem kapnak annyi támogatást már, hogy ezek is beleférjenek.

Kakti

KépKép

KépKép
kakti
 
 


Köszönöm a válaszokat.

Nincs saját orvosom, az sztk-ban meg nem csinálnak ilyet.

Így most hívogatom az összes kórházat a városban, hogy hol tudnak fogadni. Valahol olvastam, hogy a BMC-be csinálnak ilyet. De úgy látszik nem mindenkinek, csak kivételes esetben.
kockasfulunyul
Budapest XV. kerület
 
 


sziasztok lányok!

kockásfülü!
átjárhatóságit a kettes számú nőin csinálnak, az üllői úton. kérni kell időpontot, ott bármelyik orvos jó. de az fájdalmas, és be kell feküdni egy délelőttöt. a nem fájdalmas fizetős (30 ezer) szerintem a hsg-t ki lehet bírni, de akinél pl van összenövés az azért kellemetlen. de utána viszont több esély van a teherbe esésre, ha mondjuk az volt az oka. de van olyan orvos, aki azt javasolja, hogy átjárhatósági helyett inkább laparral benéz, hogy minden ok-e odabent. az egy nap bent alvást jelent. sajnos, ha több sikertelen lombikja van az ember lányának, ezt a vizsgálatot úgysem ússza meg. bár remélem neked egyből összejön! de azért gondold át, hogy mit választasz, mert a lapar az nagyon alapos dolog. nekem átjárható volt a vizsgálat szerint a petevezetőm, de a laparral azért találtak több összenövést is.

vevik!
gratulálok a kis zsákodhoz :D

dorkabab!
mi újság? telefonszámod elveszett, mert boti megúsztatta a telefonomat a teájába és a kártyán lévő számot szó szerint elúsztak. :?

Kép[/url]
Kép[/url]
Kép
etna33
 
 


Vevikk!

Gratulálok :)

Kép

Kép
witch26
Budapest X. kerület
 
 
 
 


Etna!

A II.Női csináltak lapart 2007-ben, és megállapították,hogy mindkét petevezető elzárt. De a doktornő azt mondta, hogy azóta sok minden történhetett, azért kell HSG. És a II. Nőire, hogy kérjek beutalót? Ad a körzeti nőgyógyász, vagy csak menjek be a BMC-s papírommal a klinikára?
kockasfulunyul
Budapest XV. kerület
 
 


Vevik, gratulálok a petezsákhoz. Annyira örülök hogy jó hírekre jöttem megint.
Vicky, jó hogy ennyire jól bírod a melót. Én most már nagyon el kezdtem félni. Annyira fáradt vagyok hogy alig bírok magammal. Mi lesz ha még melózni is kell menni?
Ann, nagyon sokat gondoltam rád és képzeld, tegnap ihletet kaptam. Két éve kb hogy kaptam egy kedves ismerősömtől emilbe egy újság cikket amiben arról volt szó hogy egy nőcinek asszem a tizenvalahányadik lombikja sem sikerült mire a dokija (Győri Kaáliban) azt mondta hogy köttesse le a petevezetőit mert valószínűleg a petefészkéből méreg szabadul fel ami miatt elhal az embrió. Meg tapadt nála is csak hogy rövidebb-hosszabb idő után mindegyik elhalt. A petevezetőit leköttette hiszen amúgy sem volt már arra szüksége a lombikhoz nem kell és született egy csodaszép kislánya. Ezt úgy éreztem le kell neked írnom mert előfordulhat hogy nálad is ez áll fenn. Szerintem Etna is emlékszik még erre a cikkre. Nekem sajnos már nincs meg pedig olyan szívesen elküldeném.

Zsuzsa

Kép
vasikáé
Székesfehérvár
 
 


Etna!

A II.Női csináltak lapart 2007-ben, és megállapították,hogy mindkét petevezető elzárt. De a doktornő azt mondta, hogy azóta sok minden történhetett, azért kell HSG. És a II. Nőire, hogy kérjek beutalót? Ad a körzeti nőgyógyász, vagy csak menjek be a BMC-s papírommal a klinikára?

igen, nekem is a skriba drnő adott egy papír, hogy javasolja a lapart és elfogadták. az ács, várbíró, gidai, vonák drnő, galamb doktor nagyon rendesek, esetleg próbáld őket elérni, bent vannak minden hétköznap de szerintem. nekem a hsg-t a gidai csinálta anno.

Kép[/url]
Kép[/url]
Kép
etna33
 
 


vasi!
emlékszem a cikkre, most, hogy győrbe fogom folytatni, még jobb, hogy eszembe juttattad.
van egy másik fórumról is egy lány, akinek jól fog jönni a cikk, ha valahogy előkerítem, úgyhogy megkeresem vagy megkérdezem győrben, hogy hol lehet elérni. úgyis megyünk csütörtökön a sperma vizsgálatra, végre megvan rá a potom 20 ezer ft-unk :roll:
hétfőre meglesz az inzulin értékem, 3. napi vérvételem, akkor leveszik a rákszűrést és már csak a 21. napi vérvétel marad. aztán jöhet a menet.
remélem minden kismama jól van, bár gondolom nektek jobb ez a hűvös idő, mint a nagy meleg, de én fázom!!! :?

Kép[/url]
Kép[/url]
Kép
etna33
 
 


Na sziasztok!

Tegnap már nem volt időm jönni, mert BMC után indultunk anyósomékhoz. Szóval tegnapi nappal elbocsájtottak a BMC-ből.
17 mm-es petezsák, benne életjelenségeket mutató embrió - akinek a CRL értéke 9 mm. És dobogott a kicsi szive. Szóval Babszikával minden OK. :)

Kakti

KépKép

KépKép
kakti
 
 


Kakti: Gratula.
vicky79
Budapest III. kerület
 
 


Beszkenneltem a töpörtyűt.

Kép [/img]

Kakti

KépKép

KépKép
kakti
 
 


Kakti: Nagyon cuki. Már látszik hogy olyan babás. Legközelebb már jönnek a csápok-kezek, lábak. :)
vicky79
Budapest III. kerület
 
 


Kakti!! Nagyon örülök Nektek!!! Gondoltam aztán Rád mikor mentem hazafelé, hogy tuti minden okés veletek.

Zsuzsi, köszi az infót. Nekem volt rendes műtétem is, elméletileg a laparral kellett volna hogy lássák, ha baj van. Méhtükrözésem 2 volt az utóbbi 1 évben.

Etna, hajrá vizsgálatok. Én is megyek IR-re, és be vagyok tojva, alig merek elmenni... bízom benne hogy javuló tendenciát mutatok, bár a mostani sikertelen lombik után eléggé lazán vettem a kajálásokat sajnos.

Csütörtökön 6 körül volt már csak a hcg-m, azt hittem zéró lesz, mert csütörtökre kivéreztem magam, de mégsem. De azt mondta dokkerünk, hálIstennek nem kell újabb kontroll vv. Ennek örülök, mert reggel 6.15-kor indultam BMC-be, majdnem 12-re végeztem és majd 2-re értem be. Szóval húzós volt, nem beszélve hogy már mindenki rám várt a melóhelyemen. Ja igen, merthogy az autóm motorja totálkáros, ettől most eléggé kész vagyok, még mindig nem tudom kell e motort cserélni, vagy csak más dolgokat, de 150 alatt tuti nem úszom meg, nem beszélve ha új motor lesz, új forgalmi kell, műszaki vizsgáztatás, eredetiségvizsgálat.ÁÁÁÁÁ
Szóval abban bízom, hogy mostmár tényleg jobb lehet.
ann74
 
 


Kakti, csodaszép a Babszikád. Tényleg nagyon kezd hasonlítani egy kis babához. Puszikálom.
Ann, amit én írtam neked azt nem lehet műtéttel látni és semmi sem mutatja ki sajnos. Ha jól emlékszem a cikkben ez is benne volt. Majd a jövő héten meg kérem a párom hogy nézzük meg a régi gépen mert szerintem ott még meg van a cikk.
A sorozatos balszerencse után tényleg jó szokott következni. Bízz benne, bejön.

Zsuzsa

Kép
vasikáé
Székesfehérvár
 
 


Sziasztok! Csoda törént, nagyon terhes vagyok :D :D :D :D :D Két gombócom van!!!!!!! 12 mm-es mindkét petezsák. Láttuk őket!!!! :lol: :lol: :lol: :lol: :lol: :lol: :lol: :lol: :lol: :lol: :lol: majd hozok képet, csak én nem tudok szekenelni
Egyenlőre fel sem tudjuk fogni, hogy mi van,mi lesz, milyen két kisbabával a z élet, de nagyon örülünk!!!! Férjemnek mindig ez volt az álma :lol: :lol: :lol: :lol: :lol: :lol: :lol:
Beindult a BABAESŐŐŐŐ! :lol: :lol: :lol: :lol:

Kakti de szép a babád!!!!!!!!!!!!!!!!! :lol: :lol: :lol: :lol: :lol: :lol: :lol:

Kép
dorika80
Budapest IV. kerület
 
 


Dorika: Nagyon örülök. Én is szerettem volna ikreket és azzal is indultunk, de Barbus maradt. Mondjuk most már nem bánom, hogy egyedül van. Lenne Barbusból még egy?
vicky79
Budapest III. kerület
 
 


Sziasztok!

Tényleg jó szériában vagyunk. Nagyon remélem, hogy a hétfői ultrahangon én is ilyen kedvező híreket kapok. Akkor leszek a "0" hcg-ből :D indulva 7 hetes 4 napos, úgyhogy már dobognia kell a szívecskéjének.
Egy kicsit majrézok, mert semmilyen látványos tünetem nincs pl. hányás, szédülés. Étvágyam mint a lónak, de ezzel eddig sem volt gond. Egyedül a mellek megnagyobbodása, a gyakoribb haspuffadás az, ami a biztos tünet. Olyan jól érzem magam, hogy ez már gyanússá teszi. Eddig úgy volt, hogy férjem is jön velem, de pénteken kiderült, hogy mégis dolgoznia kell. Jobb lett volna, ha velem van... :(
Örülök a sok sikernek, vigyázzatok magatokra!!

Zsóka
zsóka1113
 
 


Zsóka: Nekem is később jött a hányinger és van olyan is, akinek nincs is. Nekem pl. a melleim egyáltalán nem feszültek. Ne félj, csak ott lesz az a babó. Mennyi volt a hcg-d mikor először nézték?
vicky79
Budapest III. kerület
 
 


Dorika, hatalmas Gratula!!! Annyira jó ilyen jó híreket olvasni. Elhiszem hogy izgultok, én is izgultam volna. Nem bántam volna ha nekünk is mindkettő megmarad de most utólag ugyanúgy mint Vicky jobb hogy csak Ádám maradt. Az én koromban már elégedjek meg ezzel is.
Zsóka, a csodádat elmeséltem a páromnak is, hát tátott szájjal maradt ő is. Gondolni sem merek mi lett volna ha nem csinálsz tesztet. Itt a fórumon is sokan nem csináltak és látod jobb ha ellenőrizzük magunk is. Nagyon örülök a boldogságotoknak. Emlékszem amikor 7 hetesen megnéztük a kis bogyónkat, már 8 mm-es volt a kis drágánk. Olyan boldog voltam, ott bőgtem miközben a micsodámban volt az uh. :lol:

Zsuzsa

Kép
vasikáé
Székesfehérvár
 
 


Kedves Zsuzsa! tényleg furcsa dolgokat produkál az élet. A mai napot azt tette különlegessé, hogy a lombikprogram elmúlt 7 hetében kétszer ajánlottak fel kisbabát örökbefogadásra. Ma hívtak 2-szorra,nagyon nehezen tudtunk nemet mondani, de úgy gondoljuk, hogy kettő kicsivel nem is tudnánk úgy boldogulni, hogy kíméljem magam, hogy minden rendben legyen, de az örökbefogadott kicsinek is megadjunk mindent. Nagyon remélem, hogy a sors tudja, hogyan történjenek a dolgok.
Vicky79: a beültetés utáni 15. napon volt vérvételem, akkor 279 volt a hcg-m (amit először "0"-nak láttak :( ), majd a 18. napon 790 volt. A hétfői ultrahang 7 hetes+4-n lesz.
Minden jót kívánok, remélem, holnap jövök a jó hírekkel.

Zsóka
zsóka1113
 
 


Zsóka: Ja így már emlékszem. Várjuk a jó híreket holnap.
vicky79
Budapest III. kerület
 
 


Kakti!

Szép a babszid!
Remélem csütörtökön engem is elküldenek a BMC-ből. :)

Ann!

Nem mlesz semmi baj az IR-rel!
Minden ok lesz, és a legközelebbi lombik sikerülni fog!!!

Dorika!

Gratula az ikrekhez! Én is örültem volna, ha most ikrek lettek volna, mert 3 gyereket szerettem volna, de már nem jövünk vissza harmadikért, így kétgyermekesek leszünk, de azt hiszem így sincs okunk panaszra!!!

Kép

Kép
vevikk
 
 


Sziasztok!

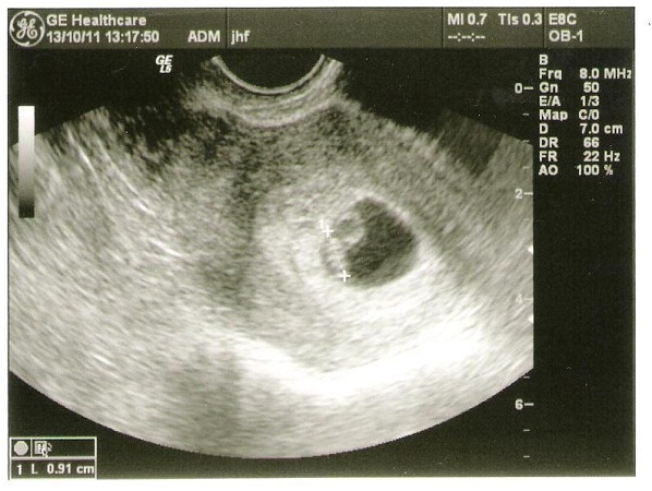
Most jövök az Uh-ról. A petezsák 20mm-es, de a kicsi csak 5 mm-es. Szépen dobogott a kicsi szíve, de a Doktornő nem biztatott sok jóval, mert ilyenkor már nagyobbnak kellene lennie. A 7 hét+4 napon volt az UH, így már tényleg nagyobbnak kellene már lennie. A jövő héten kell visszamennem, de lélekben már felkészített a műszeres befejezés valószínűségére. Persze még reménykedhetek, de ez a folyamatos bizonytalansági hinta nagyon megvisel.
Egészséges kisbabát szeretnénk, így józan ésszel belátom, hogy mikor mi a teendő, de nagyon nehéz ezt megélni.

Szép napot mindenkinek.

Zsóka
zsóka1113
 
 


Zsóka, megindított a történeted mégpedig azért mert az én történetem is pont így kezdődött (6-ik beültetés után, első 5 sikertelen), petezsák gyönyörű szívdobogás gyönyörű, méret, hát kisebb mint amilyennek lennie kellene, pont ezt írtad le Te is. Tudom mit érzel.
Ne add fel, én ezer dolgot csináltam, nyomelem pótlás, dokik, lélekgyógyász, sámán, gyógyító mindenhol voltunk, senki nem tudott segíteni rajtunk ezért csak annyit mondok nem véletlenül készítenek fel... Nálunk az lett a vége amire a doki felkészített, azóta is romokban, feldolgozhatatlan... Néhányan talán emlékeznek még rám a régiek közül, üdvözlök mindenkit.

Zsóka, nincsenek szavak nincs jó kívánság, átérzem mert már most egy pokol ez a bizonytalanság, adja Neked a jó szerencse, hogy jó vége legyen és megnőjön ez a csodababa, és amit írtál az örökbefogadásról, Istenem, annyira kegyetlen az élet. Egy kegyetlenség folyam újabb és újabb nyomorúságokkal mintha elbírna ennyit az ember, nem figyel senki, hogy nem bírható? az ég áldja már meg ezt a világot, hogy miért kell ennyit szenvedni egy egészséges gyerekért, máshová meg potyog aztán az utcán nő fel. Bocsánat, de ha ilyet olvasok mint Zsóka története, vagy Eszterék misd abja, vagy Ann története vagy csak ha magunkra gondolok a 8 évre ami mögöttünk van, hát értitek na nem kell magyaráznom.
pannik
Budapest
 
 


zsóka: Nagyon sajnálom ha tényleg nem nő meg az a baba. Remélem nem így lesz.

pannik: Persze, hogy emlékszem rád. Reméltem, hogy már jobban vagy. Rettenetesen nehéz lehet feldolgozni ezt a dolgot. Ő a ti babátok volt és el kellett engedned. Tényleg nem tudom miért történnek ezek a szörnyűségek. Igazságtalan a világ. De reménykedni kell, majd csak jönnek ezek a gyerekek. Ti nem gondolkoztatok még örökbe fogadáson? 8 év nagyon nagy idő.
vicky79
Budapest III. kerület
 
 


sziasztok lányok!

zsóka!
én azért nagyon remélem ,hogy mégis csak jó vége lesz ennek a történetnek, én mindig az utolsó pillanatig bízni szoktam. sok erőt kívánok neked bárhogy is alakuljon! tiszta szívből drukkolok értetek!

ann!
nem tudom ,hogy ez most fog-e erőt adni, de megtaláltam neked a cikket,amit vasi ígért. nekem a legnagyobb ámulat ebben, hogy milyen "kis" apróságokon siklanak el orvosok, amik végül is a megoldást jelentik. ezért gondolom,hogy jó a több szem, többet lát mondás.

http://lombikbabahirek.hu/yl/index.php? ... &Itemid=79

Kép[/url]
Kép[/url]
Kép
etna33
 
 


akkor most egy kis sztori magamról. minden eredményem megvan, a hormon eredményeim tökéletesek, az inzulinom éhgyomri 15-ről 5 re csökkent és a 60 perces is csak 29, a 120 perces 39. - 13 kg fogyásnál tartok. az orvos, aki nagyon sokat segít nekem (sima sztk-s) mondta, hogy vállvonogatás eddig, hogy miért nem jön össze a tesó. az std panelom is mind negatív, nem vagyok nemibeteg :D
erre ma végre eljutottam a szövettan eredményemért (amit bevallom elfejtettem mindig) és jött a megdöbbenés. az értelmezésem szerint endometriózisom van a javából. 7 nap levett szövet a 3-4. napnak megfelelő mirigyállományú, sejtek zártak, egyenes lefutásúak, stb. 2005-ben műtöttek vele, azóta senki nem nézte. kiépülni kiépül a méhny, ugye legutóbb zeke is azt mondta ,hogy mesés (16 mm), csak épp a mirigyállomány szerint cart sem ér. nincs tapadási felületem megint.

összefoglalva: nincsenek véletlenek!!! skriba drnőhöz kerültem , mikor zeke szabin volt. ő javasolta ezt a vizsgálatot, ha ő nem mondja, akkor ki tudja, hogy még hány lombik lehetőségem úszik el. remélem így már nem fog. egyébként győrben is kérték ezt.
és most jön a tanácsom, ha valakit érdekel: mindenképp csináltassa meg mindenki a lapart, hysterot és küretet, mert tényleg sokkal több minden kiderül belőle, mint az átjárhatóságiból. most egyik szemem sír, a másik nevet. de a pénztárcám az nagyon sír a fél milla után, amit tulajdonképpen a wc-n húztunk le!!!

de nem panaszkodom, mert nekem legalább már egyszer sikerült és van egy csodálatos rossz fiam. remélem mindenkinek sikerülni fog egyszer, talán a sok egymástól vett tanácsnak is hasznát tudjuk venni. én sok jó tanácsot elfogadtam.

vicky!
én úgy röhögtem magamban, ,látom barbus boti lány mása. én is elájultam volna, ha botiból kettő van :D én is azt mondom, hogy jobb, hogy nem lett iker :lol:

Kép[/url]
Kép[/url]
Kép
etna33
 
 


eszembe jutott még valami a leletből: pliferatios endometrium volt benne. erről a neten jókat írtak :shock: tehát nem biztos, hogy nagyon gáz van, csak kicsit

Kép[/url]
Kép[/url]
Kép
etna33
 
 


rosszul írtam: proliferatios endometrium ezt volt helyesen

Kép[/url]
Kép[/url]
Kép
etna33
 
 


Etna: Hát felér 6 fiúval, az biztos. Örülök, hogy kiderült valami de annak nem, hogy endód van. Most akkor megint lapar? Vagy mit lehet tenni?
vicky79
Budapest III. kerület
 
 


Zsóka, egyszerűen nem tudok mit mondani. Bízz még mindenképpen, nagyon reménykedek, hogy mégsem úgy lesz, ahogy a doktornő előrevetítette ezt a szörnyű lehetőséget.

Etna, nem teljesen értem mit leírtál az endoval kapcsolatban. Most az hol volt neked? És csináltak vele valamit? Nekem is laparaszkópiával derült ki múlt év nyarán, hogy endometriózis van a hugyhólyagnál és hasfal között ami elzárta a petevezetéket is. Nagyon nagy mindennapos fájdalmaim voltak akkor már, nem múlt fájdalomcsillapítóra sem, és még anno a nőgyógyászom is azt mondta, hogy a fájdalom nem nőgyógyászati eredetű. Igazából nálam annak annyi volt a lehetősége, hogy elzárta a petevezetőt. A másik meg szerintem nálam a sok felfázás miatt volt sajnos.

Zsu, Etna köszi a cikket Azért én szívből remélem, hogy nálam nincsen ilyen gond, hiszen sok sok nő esetében előfordult már, hogy csak sokadik lombikra sikerült a baba. Remélem nálam a 4. mostmár sikeres lesz.

Ma kicsit elszomorodtam, mesélte párom, hogy egy jó családi barátnőjük terhes, és igazából nagyon el volt kenődve. Mondta, hogy jójü örül neki, de mégsem, mert már mindenkinek van, csak nekünk nem, és tudja hogy mindent megteszek. Nekem is nagyon rossz érzés volt, hogy már ő is mennyire szeretne és eddig nem voltam rá képes. Anyuék is mindig segítettek minden lombik alkalmával, mindig hoztak kajákat, húgom néhányszor el is jött velem, otthagyta anyuval pici fiát és eljött beültire, vagy vv eredmény várásra. Szóval mindenkinek csak a csalódást okoztam eddig. És jelen pillanatban nem sok értelem van az életemben. És igenis, nem értem, nem értem az egészet!!!!!!!!!!!!!! Valóban nem attól függ ez az egész, hogy mennyi szeretet van bennünk, mennyire vagyunk úgymond "normális", gyermekre vágyó felnőttek... nem tudom mitől függ. Semmi hangulatom, se pénzem, sem energiám nincs alternatív gyógymódokba kezdeni. Mindenki mást javasol, azt ami esetleg épp neki segített, de ugye annyi félék vagyunk, ahányan... Egyre csak azt kérdezgetem magamban mostanság: MIT TUDOK ÉN TENNI MÉG?? MIT CSINÁLJAK? MI AZ AMI SEGÍT?? MIRE GONDOLJAK, NE GONDOLJAK?? EGYSZÓVAL MIT TEGYEK, HOGY VÉGRE KEZÜNKBE TARTHASSUK DRÁGA SZEMÜNK FÉNYÉT??????
ann74
 
 


Sziasztok!

Etna: ha 16 mm-es mhny-ád épül, akkor hogy érted azt, hogy nincs tapadási felület?? Ezt nem értem.

Ann: erre nincsenek válaszok, nem találok benne logikát. Terhes lesz sok olyan nő aki nem is akar gyereket aztán vagy elveteti vagy örökbeadja. Ezt nekem senki nem magyarázza meg, miért van így.

Pannik: hasonlóan érzek, mint Te, gyere azért a fórumra, együtt talán könnyebb kicsit.

Zsóka, azért drukkolok Neked, hogy ne legyen igaza az orvosodnak.
Vendég
 


sziasztok lányok!

az endo valószínűleg a petevezetők környékén lehetett, az egy külön rész, csak hirtelen akartam mindent leírni. azt most megtisztította a doki, ott voltak összenövések. a méh nyh. meg hiába vastagszik meg, ha nem jó a mirigyállomány. az van írva a papírra, hogy egyenes lefutású, szűk sejtek, csak néhol van bennük kanyar (mármint a sejtekben) ebből gondolom, hogy egyenes sejtek lévén olyan, mintha csúszda lenne, tehát nincs kapaszkodási felülete az embriónak. nincs mihez tapadni, ha minden egyenes. na ez így elég laikus gondolkodásmódra vall, de mint írtam, ez az én olvasatomban van, orvos még nem látta, csak az egyik nővér barátnőm. ja a hasfájás nálam minden napos, néha úgy érzem, hogy szó szerint szét akarok szakadni. endoval már voltam műtve, akkor a hasfalon voltak és a beleknél, már nem tudom még hol nőhetek össze, remélem már máshol nem!

ann!
annyit tehetsz főként, hogy nem magadat hibáztatod, hiszen ebben senki sem hibás!!!! az, hogy bizonyos mértékben elkeseredünk, ha az ismeretségi körben valakinél jön a baba az nem csak nálatok van, hanem szerintem mindenkinél. persze, hogy az ember lánya, fia szeretne egy kismanót és nem érti, hogy miért nem őt ajándékozza meg a sors. azt, hogy kinek, milyen út vezet a sikerhez az is a szerencse műve szerintem. nekem pl jót tett a gyász idejében az alternatív gyógymód (hozzáteszem, ahol konkrét összegért gyógyítanak, oda azért nem érdemes menni, mert akik igazi gyógyítók, azok nem kérnek pénzt, hanem elfogadják azt amit viszel, ha nem pénzt, hanem egy csokit, akkor azt) ha nincs erőd hozzá, akkor nem az a te utad! vagy legalább is most nem! a kineziológus persze más, ő konkrét összegért gyógyít, de ő hozzá csak 3x kell menni.

zsóka!
vannak fejlemények?

Kép[/url]
Kép[/url]
Kép
etna33
 
 


Zsóka!!!

Fenomenális erőt kívánok Neked, és bízz!!!! Már annyi csodát élhettünk át, olyan sok pozitív történet is van, higgy benne, hogy a Tiéd is az lesz!!!!
Tudom, nehéz, de itt mi mindannyian Veled vagyunk!!!!

Ann!

Te se okold magad semmiért!!! Nektek is sikerülni fog, én biztos vagyok benne. Ne adjátok fel, és a kitartásnak lesz gyümölcse!!!


A sok szomorú történetet olvasva én is be vagyok sz@rva a holnaptól. Lesz-e szívhang? Mekkora az mi kicsink?
De biztos minden rendben lesz!!!

Kép

Kép
vevikk
 
 


lányok, ezt ma találtam, végig könnyeztem, ahogy a képeket néztem!

http://www.facebook.com/golyahir

Kép[/url]
Kép[/url]
Kép
etna33
 
 


Kedves Mindenki! Nagyon köszönöm a sos-sok biztatást. Naponta változó a hangulatom, mert tényleg nagyon tartok a jövő hétfői eredménytől.

Ann- nekem is volt olyan időszakom, amikor magamban kerestem a hibát, dühös voltam a világra, tehetetlen dühömben "törni-zúzni, a világnak nekimenni" tudtam volna. Mára már megbékéltem ezzel a kereszttel. Ezt az 5. lombikot is úgy kezdtem el, hogy a Doktornő sem fűzött sok reményt a sikerhez. Ehhez képest már a szívhangig jutottam, tovább mint valaha. 45 évesen nem sok lehetőségem van már arra, hogy sajátom legyen (igaz még van 7 kicsi lefagyasztva), de a magam megnyugtatására végigmentem az úton. Közben párt "cseréltem" 2x. Olyan, hogy családi támogatás, olyan nekem/-ünk nincs, de van egy fantasztikus férjem, aki az ég legnagyobb ajándéka számomra. Megtanultam annak örülni, ami van, mert nagy baj az, ha a sok jót nem vesszük észre ami megadatik, mert az az egy ami nincs mindent elhomályosít....Nem akartam prédikálni, csak biztatni, hogy menj tovább az utadon...pihenj, ha kell, úgy is érzed majd újra az erőt magadban... :)

Vevikk - nálad minden rendben lesz..., mert mindenki története más és más. Mindenkinek jár a boldogság... :D még nekem is...

Most nekem nehéz optimistának lenni...nagyon félek, hogy műszeres befejezés lesz a vége...egyszer már végigcsináltam, nem tudom, hogy bírom ki mégegyszer.. :cry:

Szép napot mindenkinek...

Zsóka
zsóka1113
 
 


Zsóka: Nagyon drukkolok neked.

Ann: Tudom, hogy nehéz ezt belátni, de nem a te hibád. Én is nagyon elkeseredett és dühös voltam, amikor mindenki másnak sikerült, csak nekünk nem. Talán próbáld elképzelni az életeteket gyerek nélkül. Legyenek terveid. Kegyetlenül hangzik, de nekem ez segített. Amikor voltak terveim arra, hogy mi van akkor ha nem sikerül a gyerek. Igaz, hogy én valahogy sosem gondoltam komolyan, hogy nem lesz gyerekünk. Nem tudom, csak éreztem. Azért kezdtem kétségbe esni, amikor a 3. inszem sem sikerült. Akkor azt hittem majd a lombik. És már nem bíztam a sikerben. Jobb tanácsom sajnos nincs.
vicky79
Budapest III. kerület
 
 


Zsóka, olyan erős vagy, és köszönöm a jótanácsokat. (nem ám prédikálás!! :)) Igazad van, hogy nagyon kell hálát adni annak ami van, mert ha még annak sem tudunk örülni, azt is elveszik tőlünk ami van. Nem egy ilyen példát láttam már sajnos közvetlen környezetemben, de szintúgy magamra is vonatkozik. Mikor mész uh-ra? Azért az jó dolog, hogy elkezdtétek az örökbefogadást, az én párom hallani sem akar róla. Na és persze előtte illene összeházasodni és együtt is élni, mert ez sem egyszerű, de ezzel nem akarlak fárasztani benneteket.

Köszönöm másoknak is az együttérző és a bátorító szavakat. Igyekszem a jótanácsokat megfogadni, mert vannak bennük igazságok.

Vicky az életet gyerek nélkül elképzelni, háát olyan mintha fej nélkül képzelném el mondjuk a hátralévő életem...és másrész olyan nehéz, hogy legyen az ember pozitív, és bízzon, de közben készüljön fel a legrosszabbra. Szóval néha káosz van a fejemben.

Vevik!! Veletek minden rendben lesz. Valami miatt nagyon szerencsések vagytok, ha tudsz vmi titkot kérlek áruld el, bármi is az. Nagyon szurkolok holnap ám!!!!

Én azt hittem mostmár minden jobb, lesz de... ma estére már egy roncs lettem. Meglett a cukor és IR eredményem és katasztrófális lett, eddig a max 0-ás inzulinom 12 volt, de amúgy mindig 8, 2, 4, ilyen értékek lettek a 0-áshoz. Most meg 28,9!!! 29 a határérték, más helyeken 25.
A cukrok rendben vannak teljesen, visszamegy a 0-ás értékre. Viszont a 60-as inzulin 62 lesz, majd a 120 perces 98,9!!!
Kiszámoltam azt a HOMÁT amit ilyenkor kiszámolnak, na az 5,7, és 4,4 -től számít kórosnak, tehát IR-esnek az ember. Igaz, az arány az olya 3szorosa a 120 perces a nullásnak, de egyrészt förtelem a 0-ás érték, másrészt a 60 perces után nemhogy csökkenne az inzulin hanem tovább nő. Szóval le vagyok súlytva, erre már nem találok szavakat.
Az endokrin dokim azt mondja csináltassak egy sima kajás terhelést, hogy lássuk normál 75 gr étkezésre hogy reagál a szervezet és legalább újra látnám milyen lett a 0-ás érték. És előtte vigyáznék egy hétig az étkezéssel, mert mostanában elengedtem magam.
A legrosszabb amitől tartok, hogy merjem-e bavállalni így a következő fagyis beültetést, ami a köv. mensivel itt is van. Ha nem, akkor január vége lenne a leghamarabbi időpont utána, a december nem lesz jó mert év végére jön ki. Másrészről meg azt érzem, hogy abba belehalok, ha megint várnom kell hónapokat. Tudom, most azt mondanátok, hogy azon már nem múlik, és inkább később, mint..blabla. Csak könyörgöm, annyira szalad az idő, 37 elmúltam, miómák vannak a méhembe ami idővel tovább nőhet...(de persze NEM FOG!).
ann74
 
 


ann!

nekem a mensben azt mondták ,hogy 10 fölött éhgyomri inzulin okoz vetélést, szinte mindig. talán akkor ez is közrejátszódhatott most. szeded a metet? ha belevágsz a fagyik visszarakásába, akkor szerintem drasztikusan kezd a diétát, hogy minél alacsonyabb legyen az éhgyomrid. nekem is nőtt az inzulinom 120 percesnél, de erre meg azt mondták ,hogy az éhgyomri 8x-a lehet a 120 perces. ja és amiről nem beszélsz, az lehet ám gát benned, tehát beszélj róla, mind az esküvőről, mind az együttélésről a párodnak. és szerintem az ellenkezőjét képzeld el, azt hogy kismama vagy és növöget a pocidban a baba. (lsd titok c könyv)

ez az inzulin :shock: én tegnap megettem egy egész szelet tortát. nagyon jól esett , ma koplalhatok :roll: hogy egyensúlyban legyek. de ha bűnözök tényleg nehezebb utána, mert éhes leszek!

Kép[/url]
Kép[/url]
Kép
etna33
 
 

Vissza: Szülészetek, kórházak

Jegyzetfüzet: